相关产品推荐更多 >
万千商家帮你免费找货
0 人在求购买到急需产品
- 详细信息
- 技术资料
- 免疫原:
Synthetic peptide of human RAB17
- 形态:
liquid
- 保存条件:
Store at -20˚C
- 克隆性:
Polyclonal
- 适应物种:
Human;Mouse
- 保质期:
12 months
- 抗原来源:
Rabbit
- 供应商:
南京赛戈巍生物科技有限公司
- 宿主:
Rabbit
- 应用范围:
WB IHC
- 靶点:
Uniprot:Q9H0T7
- 抗体英文名:
RAB17 Antibody
- 规格:
50ul/100ul
别名:FLJ12538; RAB17; RAB17, member RAS oncogene family; Ras-related protein Rab-17
计算分子量:23kd
配方:Rabbit IgG in pH7.4 PBS, 0.05% NaN3, 40% Glycerol.
应用详情:
图片:
计算分子量:23kd
配方:Rabbit IgG in pH7.4 PBS, 0.05% NaN3, 40% Glycerol.
应用详情:
Western blotting: 1:200-1:1000
Immunohistochemistry: 1:20-1:100
图片:
![RAB17 Antibody[43393]](https://img1.dxycdn.com/p/s14/2025/0922/685/2340989744510700791.jpg)
Gel: 12%SDS-PAGE
Lysate: 40 μg
Lane: TM4 cells
Primary antibody: 1/200 dilution
Secondary antibody: Goat anti rabbit IgG at 1/8000 dilution
Exposure time: 20 seconds
,
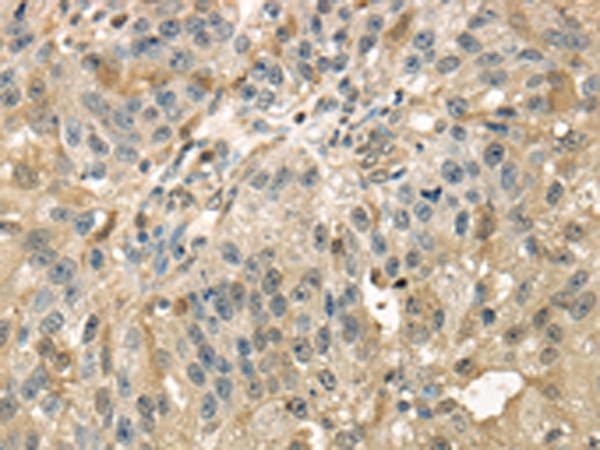
![RAB17 Antibody[43393]](https://img1.dxycdn.com/p/s14/2025/0922/123/6587778975510700791.jpg)
Immunohistochemical analysis of paraffin-embedded Human breast cancer tissue using #43393 at dilution 1/40,
风险提示:丁香通仅作为第三方平台,为商家信息发布提供平台空间。用户咨询产品时请注意保护个人信息及财产安全,合理判断,谨慎选购商品,商家和用户对交易行为负责。对于医疗器械类产品,请先查证核实企业经营资质和医疗器械产品注册证情况。
技术资料暂无技术资料 索取技术资料
RAB17 Antibody[43393]
询价


![RAB17 Antibody[43393]](https://img1.dxycdn.com/p/s14/2025/0922/568/0046652811090600791.jpg)


![P-V-Myb+C-Myb(Phospho-S11) Conjugated Antibody[C13346]](https://img1.dxycdn.com/p/s14/2025/0923/278/4431488150116040791.jpg!wh200)
![LTA4H Antibody[42720]](https://img1.dxycdn.com/p/s14/2025/0922/568/0046652811090600791.jpg!wh200)
![c-Myc (Phospho-Ser62) Conjugated Antibody[C14168]](https://img1.dxycdn.com/p/s14/2025/0922/632/2321321568067599691.jpg!wh200)
