相关产品推荐更多 >
万千商家帮你免费找货
0 人在求购买到急需产品
- 详细信息
- 技术资料
- 免疫原:
Fusion protein of human ZNF621
- 形态:
liquid
- 保存条件:
Store at -20˚C
- 克隆性:
Polyclonal
- 适应物种:
Human
- 保质期:
12 months
- 抗原来源:
Rabbit
- 供应商:
南京赛戈巍生物科技有限公司
- 宿主:
Rabbit
- 应用范围:
WB IHC
- 靶点:
Uniprot:Q6ZSS3
- 抗体英文名:
ZNF621 Antibody
- 规格:
50ul/100ul
计算分子量:49kd
配方:Rabbit IgG in pH7.4 PBS, 0.05% NaN3, 40% Glycerol.
应用详情:
Western blotting: 1:200-1:1000
Immunohistochemistry: 1:100-1:200
图片:
![ZNF621 Antibody[43363]](https://img1.dxycdn.com/p/s14/2025/0922/127/6564924694400700791.jpg)
Gel: 8%SDS-PAGE
Lysate: 40 μg
Lane: Human 2-3 grade bladder transitional cell carcinoma tissue
Primary antibody: 1/250 dilution
Secondary antibody: Goat anti rabbit IgG at 1/8000 dilution
Exposure time: 1 second
,
![ZNF621 Antibody[43363]](https://img1.dxycdn.com/p/s14/2025/0922/866/8444263826400700791.jpg)
Immunohistochemical analysis of paraffin-embedded Human Liver cancer tissue using #43363 at dilution 1/200,
,
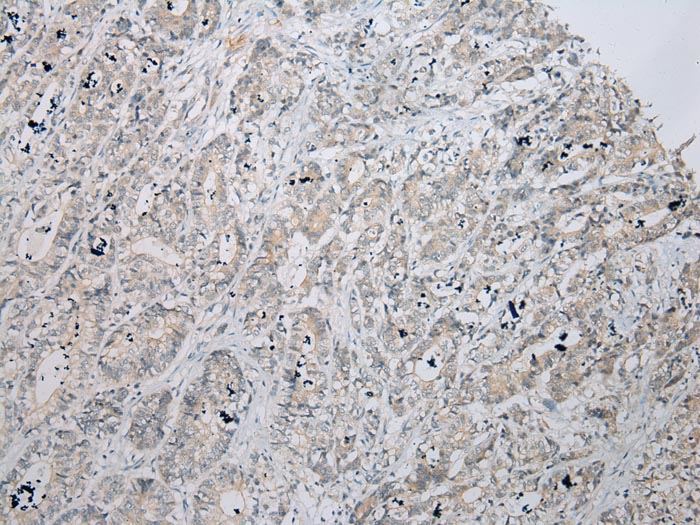
![ZNF621 Antibody[43363]](https://img1.dxycdn.com/p/s14/2025/0922/145/2116031826400700791.jpg)
Immunohistochemical analysis of paraffin-embedded Human Gastric cancer tissue using #43363 at dilution 1/200,
风险提示:丁香通仅作为第三方平台,为商家信息发布提供平台空间。用户咨询产品时请注意保护个人信息及财产安全,合理判断,谨慎选购商品,商家和用户对交易行为负责。对于医疗器械类产品,请先查证核实企业经营资质和医疗器械产品注册证情况。
技术资料暂无技术资料 索取技术资料


![ZNF621 Antibody[43363]](https://img1.dxycdn.com/p/s14/2025/0922/568/0046652811090600791.jpg)


![COL4A1 Antibody[36803]](https://img1.dxycdn.com/p/s14/2025/0922/359/6146153295428599691.jpg!wh200)
![RUNX1+RUNX2+RUNX3 Rabbit mAb[49160]](https://img1.dxycdn.com/p/s14/2025/0923/496/0462304380155040791.jpg!wh200)
![UQCRC2 Antibody[42815]](https://img1.dxycdn.com/p/s14/2025/0922/568/0046652811090600791.jpg!wh200)
