相关产品推荐更多 >
万千商家帮你免费找货
0 人在求购买到急需产品
- 详细信息
- 技术资料
- 免疫原:
Full length fusion protein of human PPIL1
- 形态:
liquid
- 保存条件:
Store at -20˚C
- 克隆性:
Polyclonal
- 适应物种:
Human;Mouse
- 保质期:
12 months
- 抗原来源:
Rabbit
- 供应商:
南京赛戈巍生物科技有限公司
- 宿主:
Rabbit
- 应用范围:
WB IHC
- 靶点:
Uniprot:Q9Y3C6
- 抗体英文名:
PPIL1 Antibody
- 规格:
50ul/100ul
计算分子量:18kd
配方:Rabbit IgG in pH7.4 PBS, 0.05% NaN3, 40% Glycerol.
应用详情:
Western blotting: 1:500-1:2000
Immunohistochemistry: 1:100-1:200
图片:
![PPIL1 Antibody[43322]](https://img1.dxycdn.com/p/s14/2025/0922/094/0481160672099600791.jpg)
Gel: 12%SDS-PAGE
Lysate: 40 μg
Lane: Mouse heart tissue
Primary antibody: 1/450 dilution
Secondary antibody: Goat anti rabbit IgG at 1/8000 dilution
Exposure time: 30 seconds
,
![PPIL1 Antibody[43322]](https://img1.dxycdn.com/p/s14/2025/0922/452/6184958904099600791.jpg)
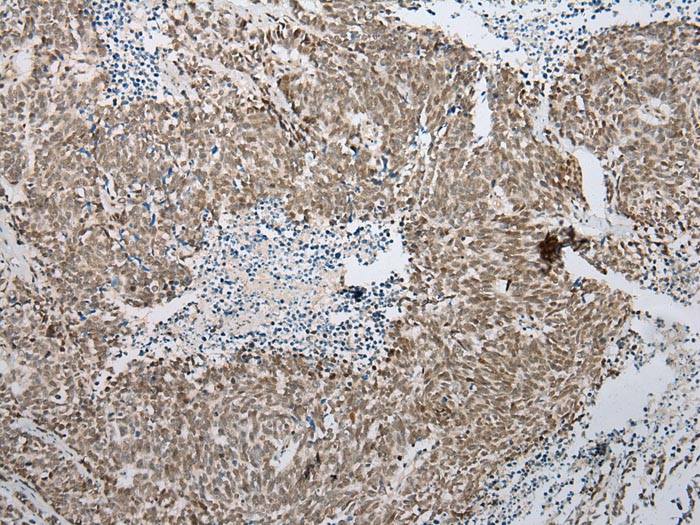
Immunohistochemical analysis of paraffin-embedded Human Lung cancer tissue using #43322 at dilution 1/100.
,
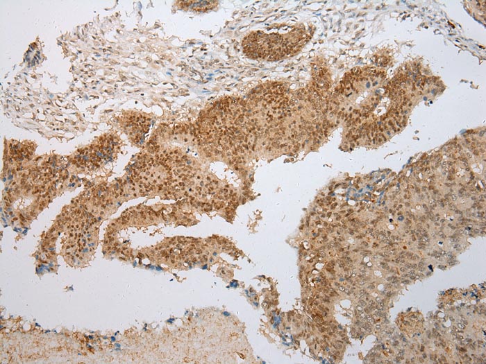
![PPIL1 Antibody[43322]](https://img1.dxycdn.com/p/s14/2025/0922/691/4817305173099600791.jpg)
Immunohistochemical analysis of paraffin-embedded Human Colorectal cancer tissue using #43322 at dilution 1/100.
风险提示:丁香通仅作为第三方平台,为商家信息发布提供平台空间。用户咨询产品时请注意保护个人信息及财产安全,合理判断,谨慎选购商品,商家和用户对交易行为负责。对于医疗器械类产品,请先查证核实企业经营资质和医疗器械产品注册证情况。
技术资料暂无技术资料 索取技术资料


![PPIL1 Antibody[43322]](https://img1.dxycdn.com/p/s14/2025/0922/568/0046652811090600791.jpg)


![MEK1 (Phospho-S298) Conjugated Antibody[C13407]](https://img1.dxycdn.com/p/s14/2025/0923/278/4431488150116040791.jpg!wh200)
![Rabbit Anti-Human IgM[L35658]](https://img1.dxycdn.com/p/s14/2025/0922/632/2321321568067599691.jpg!wh200)
![RNF217 Antibody[47802]](https://img1.dxycdn.com/p/s14/2025/0923/496/0462304380155040791.jpg!wh200)
![MED4 Antibody[43340]](https://img1.dxycdn.com/p/s14/2025/0922/568/0046652811090600791.jpg!wh200)
![SUCLG1 Polyclonal Antibody[28925]](https://img1.dxycdn.com/p/s14/2025/0923/305/2150219664296040791.jpg!wh200)
