相关产品推荐更多 >
万千商家帮你免费找货
0 人在求购买到急需产品
- 详细信息
- 文献和实验
- 技术资料
- 免疫原:
Recombinant human Fibroblast growth factor 21 protein
- 形态:
liquid
- 保存条件:
Store at -20˚C
- 克隆性:
Polyclonal
- 适应物种:
Human
- 保质期:
12 months
- 抗原来源:
Rabbit
- 供应商:
南京赛戈巍生物科技有限公司
- 宿主:
Rabbit
- 应用范围:
WB IHC
- 靶点:
Uniprot:Q9NSA1
- 抗体英文名:
Fibroblast growth factor 21 Polyclonal Antibody
- 规格:
50ul/100ul
计算分子量:23kd
配方:Preservative: 0.03% Proclin 300 Constituents: 50% Glycerol, 0.01M PBS, PH 7.4
应用详情:Western blotting: 1:500 - 1:1000
Immunohistochemistry: 1:20 - 1:200
图片:

All lanes : Fibroblast growth factor 21 antibody at 2ug/ml+A549 whole cell lysate Secondary Goat polyclonal to Rabbit IgG at 1/15000 dilution Predicted band size : 23 kDa Observed band size: 23 kDa
,

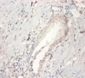
Immunohistochemical analysis of paraffin-embeded human prostate using #42458 at dilution of 1:100.
风险提示:丁香通仅作为第三方平台,为商家信息发布提供平台空间。用户咨询产品时请注意保护个人信息及财产安全,合理判断,谨慎选购商品,商家和用户对交易行为负责。对于医疗器械类产品,请先查证核实企业经营资质和医疗器械产品注册证情况。
文献和实验ABSTRACT Fibroblast growth factor (FGF) signaling plays a signifigant role in embryonic development. Particularyl, FGFs are implicated in mediating epithelial-mesenchymal interactions by means of regulating cell proliferation
指在组织培养中,除了氨基酸、维生素、葡萄糖以及无机盐等正常成分之外,其可以代替培养基血清高分子物质的而促进细胞生长的物质。与发育因子和增殖因子为同义词,但因在组织培养中是以细胞增殖为直接目的,所以称增殖因素较确切。生长因子多为广义的肽激素,有胰岛素、表皮生长因素(EGF)、成纤细胞生长因素(fibroblast gfowth factor,FGF)、血小板来源增殖因素(platelet-derivedgrowth factor,PDGF)以及生长
Regulator of Epidermal Growth Factor Signaling: Sprouty
Sprouty was first discovered through its downregulatory effect on fibroblast growth factor (FGF) receptor pathway during tracheal development. Sprouty expression is also induced by the epidermal growth factor receptor (EGFR) cascade
技术资料暂无技术资料 索取技术资料





![C1orf101 Antibody[46367]](https://img1.dxycdn.com/p/s14/2025/0923/496/0462304380155040791.jpg!wh200)
![SH3GLB1 Rabbit Polyclonal Antibody[55120]](https://img1.dxycdn.com/p/s14/2025/0922/498/0460884283108299691.jpg!wh200)

![MKKS Conjugated Antibody[C36619]](https://img1.dxycdn.com/p/s14/2025/0923/278/4431488150116040791.jpg!wh200)
![AMT Conjugated Antibody[C31769]](https://img1.dxycdn.com/p/s14/2025/0923/305/2150219664296040791.jpg!wh200)

