相关产品推荐更多 >
万千商家帮你免费找货
0 人在求购买到急需产品
- 详细信息
- 文献和实验
- 技术资料
- 免疫原:
Recombinant human DnaJ homolog subfamily B member 1 protein
- 形态:
liquid
- 保存条件:
Store at -20˚C
- 克隆性:
Polyclonal
- 适应物种:
Human
- 保质期:
12 months
- 抗原来源:
Rabbit
- 供应商:
南京赛戈巍生物科技有限公司
- 宿主:
Rabbit
- 应用范围:
WB IHC
- 靶点:
Uniprot:P25685
- 抗体英文名:
DnaJ homolog subfamily B member 1 Polyclonal Antibody
- 规格:
50ul/100ul
计算分子量:37kd
配方:Preservative: 0.03% Proclin 300 Constituents: 50% Glycerol, 0.01M PBS, PH 7.4
应用详情:Western blotting: 1:500 - 1:1000
Immunohistochemistry: 1:20 - 1:200
图片:

All lanes : DnaJ homolog subfamily B member 1 antibody at at 2ug/ml Lane 1 : EC109 whole cell lysate Lane 2 : 293T whole cell lysate Secondary Goat polyclonal to Rabbit IgG at 1/15000 dilution Predicted band size : 37kDa Observed band size: 37kDa
,

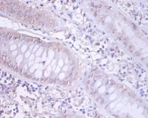
Immunohistochemical analysis of paraffin-embeded human colorectal carcinoma using #42405 at dilution of 1:100.
,

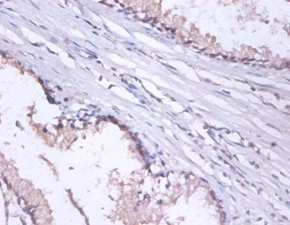
Immunohistochemical analysis of paraffin-embeded human prostate using #42405 at dilution of 1:100.
风险提示:丁香通仅作为第三方平台,为商家信息发布提供平台空间。用户咨询产品时请注意保护个人信息及财产安全,合理判断,谨慎选购商品,商家和用户对交易行为负责。对于医疗器械类产品,请先查证核实企业经营资质和医疗器械产品注册证情况。
文献和实验[资源] 所有的看家基因(housekeeping genes)列表+引物设计服务
40) homolog, subfamily B, member 6 (DNAJB6), transcript variant 2, mRNA 923 NM_006597 Homo sapiens heat shock 70kDa protein 8 (HSPA8 ), transcript variant 1, mRNA 1650 NM_006623 Homo sapiens phosphoglycerate dehydrogenase (PHGDH), mRNA 888 NM_015646
Introduction of human 14-3-3 proteins
of the tryptic peptides derived from the purified enzyme revealed two amino acid sequences homologous to the 14-3-3 proteins.A polyclonal antibody was raised against purified ST-IV.A 33 kDa protein was co-immunoprecipitated from rat brain extracts with the anti
所有的看家基因(housekeeping genes)的列表+引物设计服务
420 NM_006711 Homo sapiens RNA binding protein S1, serine-rich domain (RNPS1), transcript variant 1, mRNA 1376 NM_006145 Homo sapiens DnaJ (Hsp40) homolog, subfmaily B, member 1 (DNAJB1
技术资料暂无技术资料 索取技术资料





![RASA3 Antibody[37862]](https://img1.dxycdn.com/p/s14/2025/0922/359/6146153295428599691.jpg!wh200)
![GPX4 Polyclonal Antibody PE Conjugated[C92074PE]](https://img1.dxycdn.com/p/s14/2025/0922/498/0460884283108299691.jpg!wh200)
![IFRD1 Conjugated Antibody[C36546]](https://img1.dxycdn.com/p/s14/2025/0923/278/4431488150116040791.jpg!wh200)


