相关产品推荐更多 >
万千商家帮你免费找货
0 人在求购买到急需产品
- 详细信息
- 文献和实验
- 技术资料
- 免疫原:
Recombinant human Dolichyl-diphosphooligosaccharide--protein glycosyltransferase subunit DAD1 protein
- 形态:
liquid
- 保存条件:
Store at -20˚C
- 克隆性:
Polyclonal
- 适应物种:
Human
- 保质期:
12 months
- 抗原来源:
Rabbit
- 供应商:
南京赛戈巍生物科技有限公司
- 宿主:
Rabbit
- 应用范围:
WB IHC
- 靶点:
Uniprot:P61803
- 抗体英文名:
Dolichyl-diphosphooligosaccharide--protein glycosyltransferase subunit DAD1 Polyclonal Antibody
- 规格:
50ul/100ul
计算分子量:12 .4kd
配方:Preservative: 0.03% Proclin 300 Constituents: 50% Glycerol, 0.01M PBS, PH 7.4
应用详情:Western blotting: 1:500 - 1:1000
Immunohistochemistry: 1:20 - 1:200
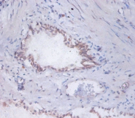
图片:

All lanes : Dolichyl-diphosphooligosaccharide-protein glycosyltransferase subunit DAD1 antibody at 2ug/ml Lane 1 : EC109 whole cell lysate Lane 2 : 293T whole cell lysate Secondary Goat polyclonal to Rabbit IgG at 1/15000 dilution Predicted band size : 12 .4kDa Observed band size: 12.4kDa
,

Immunohistochemical analysis of paraffin-embedded humanprostate using #42387 at dilution of 1:100.
风险提示:丁香通仅作为第三方平台,为商家信息发布提供平台空间。用户咨询产品时请注意保护个人信息及财产安全,合理判断,谨慎选购商品,商家和用户对交易行为负责。对于医疗器械类产品,请先查证核实企业经营资质和医疗器械产品注册证情况。
文献和实验[资源] 所有的看家基因(housekeeping genes)列表+引物设计服务
1058 NM_005216 Homo sapiens dolichyl-diphosphooligosaccharide-protein glycosyltransferase (DDOST), mRNA 1421 NM_016457 Homo sapiens protein kinase D2 (PKD2), mRNA 662 NM_006442 Homo sapiens DR1-associated protein 1 (negative cofactor 2 alpha
所有的看家基因(housekeeping genes)的列表+引物设计服务
anaphase promoting complex subunit 5 (ANAPC5), mRNA 935 NM_005801 Homo sapiens putative translation initiation factor (SUI1), mRNA 1058 NM_005216 Homo sapiens dolichyl-diphosphooligosaccharide-protein
技术资料暂无技术资料 索取技术资料





![Iba1 Conjugated Antibody[C49668]](https://img1.dxycdn.com/p/s14/2025/0922/498/0460884283108299691.jpg!wh200)

![ERG Conjugated Antibody[C48702]](https://img1.dxycdn.com/p/s14/2025/0923/305/2150219664296040791.jpg!wh200)
![SC65 Antibody[46105]](https://img1.dxycdn.com/p/s14/2025/0922/568/0046652811090600791.jpg!wh200)
![PLXNB2 Conjugated Antibody[C40207]](https://img1.dxycdn.com/p/s14/2025/0923/278/4431488150116040791.jpg!wh200)

