相关产品推荐更多 >
万千商家帮你免费找货
0 人在求购买到急需产品
- 详细信息
- 技术资料
- 免疫原:
Recombinant human Secreted Ly-6/uPAR-related protein 1 protein(1-103aa)
- 形态:
liquid
- 保存条件:
Store at -20˚C
- 克隆性:
Polyclonal
- 适应物种:
Human
- 保质期:
12 months
- 抗原来源:
Rabbit
- 供应商:
南京赛戈巍生物科技有限公司
- 宿主:
Rabbit
- 应用范围:
IHC
- 靶点:
Uniprot:P55000
- 抗体英文名:
SLURP1 Polyclonal Antibody
- 规格:
50ul/100ul
别名:SLURP-1, ARS component B, ARS(component B)-81/S, Anti-neoplastic urinary protein, ANUP, SLURP1, ARS
配方:PBS with 0.02% sodium azide, 50% glycerol, pH7.3.
应用详情:
Immunohistochemistry: 1:20 - 1:200
图片:
配方:PBS with 0.02% sodium azide, 50% glycerol, pH7.3.
应用详情:
Immunohistochemistry: 1:20 - 1:200
图片:

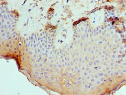
Immunohistochemical analysis of paraffin-embedded human skin using #42326 at dilution of 1:100.
,

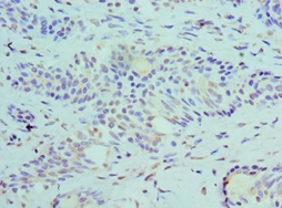
Immunohistochemical analysis of paraffin-embedded human breast cancer using #42326 at dilution of 1:100.
风险提示:丁香通仅作为第三方平台,为商家信息发布提供平台空间。用户咨询产品时请注意保护个人信息及财产安全,合理判断,谨慎选购商品,商家和用户对交易行为负责。对于医疗器械类产品,请先查证核实企业经营资质和医疗器械产品注册证情况。
技术资料暂无技术资料 索取技术资料
SLURP1 Polyclonal Antibody[42326]
询价


![SLURP1 Polyclonal Antibody[42326]](https://img1.dxycdn.com/p/s14/2025/0922/568/0046652811090600791.jpg)


![Ubr1 Polyclonal Antibody[41521]](https://img1.dxycdn.com/p/s14/2025/0922/568/0046652811090600791.jpg!wh200)
![CD31 antibody[38365]](https://img1.dxycdn.com/p/s14/2025/0922/359/6146153295428599691.jpg!wh200)
![CDH2 Mouse mAb[63445]](https://img1.dxycdn.com/p/s14/2025/0922/632/2321321568067599691.jpg!wh200)
