相关产品推荐更多 >
万千商家帮你免费找货
0 人在求购买到急需产品
- 详细信息
- 技术资料
- 免疫原:
Recombinant human C-C motif chemokine 8 protein(23-99aa)
- 形态:
liquid
- 保存条件:
Store at -20˚C
- 克隆性:
Polyclonal
- 适应物种:
Human
- 保质期:
12 months
- 抗原来源:
Rabbit
- 供应商:
南京赛戈巍生物科技有限公司
- 宿主:
Rabbit
- 应用范围:
IHC
- 靶点:
Uniprot:P80075
- 抗体英文名:
CCL8 Polyclonal Antibody
- 规格:
50ul/100ul
别名:HC14, Monocyte chemoattractant protein 2, Monocyte chemotactic protein 2, MCP-2, Small-inducible cytokine A8, CCL8, MCP2, SCYA10, SCYA8
配方:PBS with 0.02% sodium azide, 50% glycerol, pH7.3.
应用详情:
Immunohistochemistry: 1:20 - 1:200
图片:
配方:PBS with 0.02% sodium azide, 50% glycerol, pH7.3.
应用详情:
Immunohistochemistry: 1:20 - 1:200
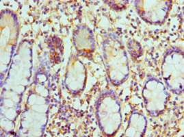
图片:

Immunohistochemical analysis of paraffin-embedded human small intestine using #42106 at dilution of 1:100.
风险提示:丁香通仅作为第三方平台,为商家信息发布提供平台空间。用户咨询产品时请注意保护个人信息及财产安全,合理判断,谨慎选购商品,商家和用户对交易行为负责。对于医疗器械类产品,请先查证核实企业经营资质和医疗器械产品注册证情况。
技术资料暂无技术资料 索取技术资料
CCL8 Polyclonal Antibody[42106]
询价


![CCL8 Polyclonal Antibody[42106]](https://img1.dxycdn.com/p/s14/2025/0922/568/0046652811090600791.jpg)


![Protein AMBP Monoclonal Antibody[42043]](https://img1.dxycdn.com/p/s14/2025/0922/568/0046652811090600791.jpg!wh200)
![NFKB3 Antibody[39294]](https://img1.dxycdn.com/p/s14/2025/0922/359/6146153295428599691.jpg!wh200)

![FOXA2 Mouse mAb[63645]](https://img1.dxycdn.com/p/s14/2025/0922/632/2321321568067599691.jpg!wh200)
![RGS19 Conjugated Antibody[C47190]](https://img1.dxycdn.com/p/s14/2025/0923/305/2150219664296040791.jpg!wh200)
