相关产品推荐更多 >
万千商家帮你免费找货
0 人在求购买到急需产品
- 详细信息
- 技术资料
- 免疫原:
Recombinant human Heat shock factor-binding protein 1 protein
- 形态:
liquid
- 保存条件:
Store at -20˚C
- 克隆性:
Polyclonal
- 适应物种:
Human
- 保质期:
12 months
- 抗原来源:
Rabbit
- 供应商:
南京赛戈巍生物科技有限公司
- 宿主:
Rabbit
- 应用范围:
IHC
- 靶点:
Uniprot:O75506
- 抗体英文名:
Heat shock factor-binding protein 1 Polyclonal Antibody
- 规格:
50ul/100ul
别名:Nasopharyngeal carcinoma-associated antigen 13, HSBP1, HSF1BP
配方:Preservative: 0.03% Proclin 300 Constituents: 50% Glycerol, 0.01M PBS, PH 7.4
应用详情:
Immunohistochemistry: 1:20 - 1:200
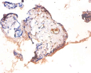
图片:
配方:Preservative: 0.03% Proclin 300 Constituents: 50% Glycerol, 0.01M PBS, PH 7.4
应用详情:
Immunohistochemistry: 1:20 - 1:200
图片:

Immunohistochemical analysis of paraffin-embeded human placenta using #42102 at dilution of 1:100.
风险提示:丁香通仅作为第三方平台,为商家信息发布提供平台空间。用户咨询产品时请注意保护个人信息及财产安全,合理判断,谨慎选购商品,商家和用户对交易行为负责。对于医疗器械类产品,请先查证核实企业经营资质和医疗器械产品注册证情况。
技术资料暂无技术资料 索取技术资料
Heat shock factor-binding protein 1 Polyclonal Antibody[42102]
询价


![Heat shock factor-binding protein 1 Polyclonal Antibody[42102]](https://img1.dxycdn.com/p/s14/2025/0922/568/0046652811090600791.jpg)


![human IgG Mouse mAb[63758]](https://img1.dxycdn.com/p/s14/2025/0922/632/2321321568067599691.jpg!wh200)
![Olig2 Conjugated Antibody[C48708]](https://img1.dxycdn.com/p/s14/2025/0923/305/2150219664296040791.jpg!wh200)
![NOTCH2 Conjugated Antibody[C37193]](https://img1.dxycdn.com/p/s14/2025/0923/278/4431488150116040791.jpg!wh200)
![Cathepsin K Polyclonal Antibody Biotin Conjugated[C91180Bio]](https://img1.dxycdn.com/p/s14/2025/0922/498/0460884283108299691.jpg!wh200)
