相关产品推荐更多 >
万千商家帮你免费找货
0 人在求购买到急需产品
- 详细信息
- 技术资料
- 免疫原:
Recombinant human D-beta-hydroxybutyrate dehydrogenase, mitochondrial protein
- 形态:
liquid
- 保存条件:
Store at -20˚C
- 克隆性:
Polyclonal
- 适应物种:
Human
- 保质期:
12 months
- 抗原来源:
Rabbit
- 供应商:
南京赛戈巍生物科技有限公司
- 宿主:
Rabbit
- 应用范围:
IHC
- 靶点:
Uniprot:Q02338
- 抗体英文名:
D-beta-hydroxybutyrate dehydrogenase, mitochondrial Polyclonal Antibody
- 规格:
50ul/100ul
别名:3-hydroxybutyrate dehydrogenase, BDH1, BDH
配方:Preservative: 0.03% Proclin 300 Constituents: 50% Glycerol, 0.01M PBS, PH 7.4
应用详情:
Immunohistochemistry: 1:20 - 1:200
图片:
配方:Preservative: 0.03% Proclin 300 Constituents: 50% Glycerol, 0.01M PBS, PH 7.4
应用详情:
Immunohistochemistry: 1:20 - 1:200
图片:

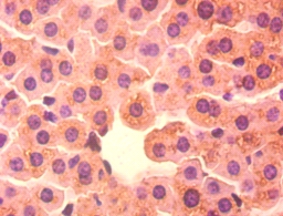
Immunohistochemical analysis of paraffin-embedded mouse liver using #42082 at dilution of 1:50.
风险提示:丁香通仅作为第三方平台,为商家信息发布提供平台空间。用户咨询产品时请注意保护个人信息及财产安全,合理判断,谨慎选购商品,商家和用户对交易行为负责。对于医疗器械类产品,请先查证核实企业经营资质和医疗器械产品注册证情况。
技术资料暂无技术资料 索取技术资料
D-beta-hydroxybutyrate dehydrogenase, mitochondrial Polyclonal Antibody[42082]
询价


![D-beta-hydroxybutyrate dehydrogenase, mitochondrial Polyclonal Antibody[42082]](https://img1.dxycdn.com/p/s14/2025/0922/568/0046652811090600791.jpg)


![PKC delta Conjugated Antibody[C49299]](https://img1.dxycdn.com/p/s14/2025/0923/305/2150219664296040791.jpg!wh200)
![Emerin Rabbit mAb[56235]](https://img1.dxycdn.com/p/s14/2025/0922/632/2321321568067599691.jpg!wh200)
![SMAD9 Conjugated Antibody[C37419]](https://img1.dxycdn.com/p/s14/2025/0923/278/4431488150116040791.jpg!wh200)
![CD4 Polyclonal Antibody FITC Conjugated[C91657FITC]](https://img1.dxycdn.com/p/s14/2025/0922/498/0460884283108299691.jpg!wh200)
