相关产品推荐更多 >
万千商家帮你免费找货
0 人在求购买到急需产品
- 详细信息
- 技术资料
- 免疫原:
Synthesized peptide derived from the N-terminal region of human CMTM5.
- 形态:
liquid
- 保存条件:
Store at -20˚C
- 克隆性:
Polyclonal
- 适应物种:
Human;Mouse;Rat
- 保质期:
12 months
- 抗原来源:
Rabbit
- 供应商:
南京赛戈巍生物科技有限公司
- 宿主:
Rabbit
- 应用范围:
WB;IHC;IF;ELISA
- 靶点:
Uniprot:Q96DZ9
- 抗体英文名:
CMTM5 Polyclonal Antibody
- 规格:
50ul/100ul
别名:CMTM5; CKLFSF5; CKLF-like MARVEL transmembrane domain-containing protein 5; Chemokine-like factor superfamily member 5
配方:Liquid in PBS containing 50% glycerol, 0.5% BSA and 0.02% sodium azide.
应用详情:
图片:
配方:Liquid in PBS containing 50% glycerol, 0.5% BSA and 0.02% sodium azide.
应用详情:
WB 1:500 - 1:2000.
IHC: 1:100-1:300.
ELISA: 1:20000..
IF 1:50-200
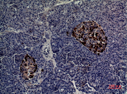
图片:

Western Blot analysis of PC12 cells using CMTM5 Polyclonal Antibody.
,

Immunohistochemical analysis of paraffin-embedded human-pancreas, antibody was diluted at 1:100
风险提示:丁香通仅作为第三方平台,为商家信息发布提供平台空间。用户咨询产品时请注意保护个人信息及财产安全,合理判断,谨慎选购商品,商家和用户对交易行为负责。对于医疗器械类产品,请先查证核实企业经营资质和医疗器械产品注册证情况。
技术资料暂无技术资料 索取技术资料
CMTM5 Polyclonal Antibody[41856]
询价


![CMTM5 Polyclonal Antibody[41856]](https://img1.dxycdn.com/p/s14/2025/0922/568/0046652811090600791.jpg)


![CETP Antibody[35526]](https://img1.dxycdn.com/p/s14/2025/0922/359/6146153295428599691.jpg!wh200)
![ARL6 Conjugated Antibody[C35639]](https://img1.dxycdn.com/p/s14/2025/0923/278/4431488150116040791.jpg!wh200)
![Smad5 (Phospho-Ser463/Ser465) Conjugated Antibody[C14208]](https://img1.dxycdn.com/p/s14/2025/0922/632/2321321568067599691.jpg!wh200)
![Raf-1 Polyclonal Antibody[41383]](https://img1.dxycdn.com/p/s14/2025/0922/568/0046652811090600791.jpg!wh200)
