相关产品推荐更多 >
万千商家帮你免费找货
0 人在求购买到急需产品
- 详细信息
- 技术资料
- 免疫原:
Synthesized peptide derived from the Internal region of human FGF-20.
- 形态:
liquid
- 保存条件:
Store at -20˚C
- 克隆性:
Polyclonal
- 适应物种:
Human;Mouse;Rat
- 保质期:
12 months
- 抗原来源:
Rabbit
- 供应商:
南京赛戈巍生物科技有限公司
- 宿主:
Rabbit
- 应用范围:
WB ELISA
- 靶点:
Uniprot:Q9NP95
- 抗体英文名:
FGF-20 Polyclonal Antibody
- 规格:
50ul/100ul
别名:FGF20; Fibroblast growth factor 20; FGF-20
配方:Liquid in PBS containing 50% glycerol, 0.5% BSA and 0.02% sodium azide.
应用详情:Western Blot: 1/500 - 1/2000.
ELISA: 1/20000.
Not yet tested in other applications.
图片:
配方:Liquid in PBS containing 50% glycerol, 0.5% BSA and 0.02% sodium azide.
应用详情:Western Blot: 1/500 - 1/2000.
ELISA: 1/20000.
Not yet tested in other applications.
图片:

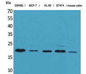
Western Blot analysis of SW480 MCF-7 HL-60 BT474 mouse colon cells using FGF-20 Polyclonal Antibody
风险提示:丁香通仅作为第三方平台,为商家信息发布提供平台空间。用户咨询产品时请注意保护个人信息及财产安全,合理判断,谨慎选购商品,商家和用户对交易行为负责。对于医疗器械类产品,请先查证核实企业经营资质和医疗器械产品注册证情况。
技术资料暂无技术资料 索取技术资料
FGF-20 Polyclonal Antibody[41587]
询价


![FGF-20 Polyclonal Antibody[41587]](https://img1.dxycdn.com/p/s14/2025/0922/568/0046652811090600791.jpg)


![Hemoglobin Monoclonal Antibody[42015]](https://img1.dxycdn.com/p/s14/2025/0922/568/0046652811090600791.jpg!wh200)
![TRIM2 Conjugated Antibody[C28547]](https://img1.dxycdn.com/p/s14/2025/0923/305/2150219664296040791.jpg!wh200)
![SUV39H2 Antibody[35236]](https://img1.dxycdn.com/p/s14/2025/0922/359/6146153295428599691.jpg!wh200)
![PGRMC1 Mouse mAb[64076]](https://img1.dxycdn.com/p/s14/2025/0922/632/2321321568067599691.jpg!wh200)
![Semaphorin 3F Polyclonal Antibody FITC Conjugated[C91688FITC]](https://img1.dxycdn.com/p/s14/2025/0922/498/0460884283108299691.jpg!wh200)
