相关产品推荐更多 >
万千商家帮你免费找货
0 人在求购买到急需产品
- 详细信息
- 技术资料
- 免疫原:
Synthesized peptide derived from human PKC around the non-phosphorylation site of T497.
- 形态:
liquid
- 保存条件:
Store at -20˚C
- 克隆性:
Polyclonal
- 适应物种:
Human;Mouse;Rat
- 保质期:
12 months
- 抗原来源:
Rabbit
- 供应商:
南京赛戈巍生物科技有限公司
- 宿主:
Rabbit
- 应用范围:
WB IHC IF ELISA
- 靶点:
Uniprot:P17252
- 抗体英文名:
PKC Polyclonal Antibody
- 规格:
50ul/100ul
配方:Liquid in PBS containing 50% glycerol, 0.5% BSA and 0.02% sodium azide.
应用详情:
Western Blot: 1/500 - 1/2000.
Immunohistochemistry: 1/100 - 1/300.
Immunofluorescence: 1/200 - 1/1000.
ELISA: 1/5000.
Not yet tested in other applications.
图片:
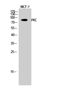
![PKC Polyclonal Antibody[41347]](https://img1.dxycdn.com/p/s14/2025/0922/706/6169199559984600791.jpg)
Western Blot analysis of MCF-7 cells using PKC Polyclonal Antibody
,
![PKC Polyclonal Antibody[41347]](https://img1.dxycdn.com/p/s14/2025/0922/453/0295283249984600791.jpg)
Western Blot analysis of MCF-7 cells using PKC Polyclonal Antibody
,
![PKC Polyclonal Antibody[41347]](https://img1.dxycdn.com/p/s14/2025/0922/807/4857055089984600791.jpg)
Immunohistochemical analysis of paraffin-embedded Human-stomach-cancer tissue. 1,PKC Polyclonal Antibody was diluted at 1:200(4°C,overnight). 2, Sodium citrate pH 6.0 was used for antibody retrieval(>98°C,20min). 3,Secondary antibody was diluted at 1:200(room tempeRature, 30min). Negative control was used by secondary antibody only.
,
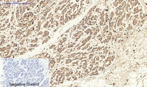
![PKC Polyclonal Antibody[41347]](https://img1.dxycdn.com/p/s14/2025/0922/977/6336060979984600791.jpg)
Immunohistochemical analysis of paraffin-embedded Human-uterus-cancer tissue. 1,PKC Polyclonal Antibody was diluted at 1:200(4°C,overnight). 2, Sodium citrate pH 6.0 was used for antibody retrieval(>98°C,20min). 3,Secondary antibody was diluted at 1:200(room tempeRature, 30min). Negative control was used by secondary antibody only.
,
![PKC Polyclonal Antibody[41347]](https://img1.dxycdn.com/p/s14/2025/0922/971/6965083469984600791.jpg)
Immunohistochemical analysis of paraffin-embedded Mouse-colon tissue. 1,PKC Polyclonal Antibody was diluted at 1:200(4°C,overnight). 2, Sodium citrate pH 6.0 was used for antibody retrieval(>98°C,20min). 3,Secondary antibody was diluted at 1:200(room tempeRature, 30min). Negative control was used by secondary antibody only.
,
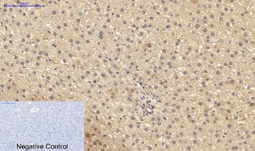
![PKC Polyclonal Antibody[41347]](https://img1.dxycdn.com/p/s14/2025/0922/405/8630378879984600791.jpg)
Immunohistochemical analysis of paraffin-embedded Rat-liver tissue. 1,PKC Polyclonal Antibody was diluted at 1:200(4°C,overnight). 2, Sodium citrate pH 6.0 was used for antibody retrieval(>98°C,20min). 3,Secondary antibody was diluted at 1:200(room tempeRature, 30min). Negative control was used by secondary antibody only.
,
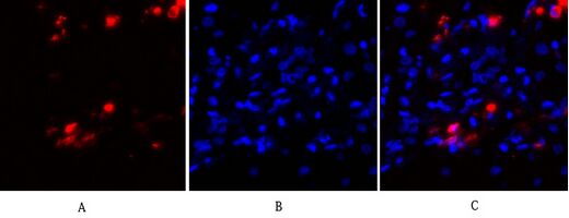
![PKC Polyclonal Antibody[41347]](https://img1.dxycdn.com/p/s14/2025/0922/835/4260543649984600791.jpg)
Immunofluorescence analysis of human-liver tissue. 1,PKC Polyclonal Antibody(red) was diluted at 1:200(4°C,overnight). 2, Cy3 labled Secondary antibody was diluted at 1:300(room temperature, 50min).3, Picture B: DAPI(blue) 10min. Picture A:Target. Picture B: DAPI. Picture C: merge of A+B
,
![PKC Polyclonal Antibody[41347]](https://img1.dxycdn.com/p/s14/2025/0922/087/8406813549984600791.jpg)
Immunofluorescence analysis of human-lung tissue. 1,PKC Polyclonal Antibody(red) was diluted at 1:200(4°C,overnight). 2, Cy3 labled Secondary antibody was diluted at 1:300(room temperature, 50min).3, Picture B: DAPI(blue) 10min. Picture A:Target. Picture B: DAPI. Picture C: merge of A+B
风险提示:丁香通仅作为第三方平台,为商家信息发布提供平台空间。用户咨询产品时请注意保护个人信息及财产安全,合理判断,谨慎选购商品,商家和用户对交易行为负责。对于医疗器械类产品,请先查证核实企业经营资质和医疗器械产品注册证情况。
技术资料暂无技术资料 索取技术资料


![PKC Polyclonal Antibody[41347]](https://img1.dxycdn.com/p/s14/2025/0922/568/0046652811090600791.jpg)


![Histone H2A.X (Phospho-Ser139) Conjugated Antibody[C14241]](https://img1.dxycdn.com/p/s14/2025/0922/632/2321321568067599691.jpg!wh200)
![POP7 Polyclonal Antibody[31460]](https://img1.dxycdn.com/p/s14/2025/0923/305/2150219664296040791.jpg!wh200)
![PFKFB3 Rabbit mAb[52501]](https://img1.dxycdn.com/p/s14/2025/0922/498/0460884283108299691.jpg!wh200)
![MAP4 Antibody[35949]](https://img1.dxycdn.com/p/s14/2025/0922/359/6146153295428599691.jpg!wh200)
![BMP-7 Polyclonal Antibody[40651]](https://img1.dxycdn.com/p/s14/2025/0922/568/0046652811090600791.jpg!wh200)
