相关产品推荐更多 >
万千商家帮你免费找货
0 人在求购买到急需产品
- 详细信息
- 技术资料
- 免疫原:
Synthesized peptide derived from human Cyclin B1 around the non-phosphorylation site of S126.
- 形态:
liquid
- 保存条件:
Store at -20˚C
- 克隆性:
Polyclonal
- 适应物种:
Human;Mouse;Rat
- 保质期:
12 months
- 抗原来源:
Rabbit
- 供应商:
南京赛戈巍生物科技有限公司
- 宿主:
Rabbit
- 应用范围:
WB IHC IF ELISA
- 靶点:
Uniprot:P14635
- 抗体英文名:
Cyclin B1 Polyclonal Antibody
- 规格:
50ul/100ul
别名:CCNB1; CCNB; G2/mitotic-specific cyclin-B1
配方:Liquid in PBS containing 50% glycerol, 0.5% BSA and 0.02% sodium azide.
应用详情:Western Blot: 1/500 - 1/2000.
Immunohistochemistry: 1/100 - 1/300.
Immunofluorescence: 1/200 - 1/1000.
ELISA: 1/20000.
Not yet tested in other applications.
图片:
配方:Liquid in PBS containing 50% glycerol, 0.5% BSA and 0.02% sodium azide.
应用详情:Western Blot: 1/500 - 1/2000.
Immunohistochemistry: 1/100 - 1/300.
Immunofluorescence: 1/200 - 1/1000.
ELISA: 1/20000.
Not yet tested in other applications.
图片:

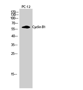
Western Blot analysis of PC-12 cells using Cyclin B1 Polyclonal Antibody
,

Western Blot analysis of various cells using Cyclin B1 Polyclonal Antibody
风险提示:丁香通仅作为第三方平台,为商家信息发布提供平台空间。用户咨询产品时请注意保护个人信息及财产安全,合理判断,谨慎选购商品,商家和用户对交易行为负责。对于医疗器械类产品,请先查证核实企业经营资质和医疗器械产品注册证情况。
技术资料暂无技术资料 索取技术资料
Cyclin B1 Polyclonal Antibody[40802]
询价


![Cyclin B1 Polyclonal Antibody[40802]](https://img1.dxycdn.com/p/s14/2025/0922/568/0046652811090600791.jpg)


![FRK Mouse mAb[63650]](https://img1.dxycdn.com/p/s14/2025/0922/632/2321321568067599691.jpg!wh200)
![ADRBK1 Antibody[36916]](https://img1.dxycdn.com/p/s14/2025/0922/359/6146153295428599691.jpg!wh200)
![SPARC Antibody[42713]](https://img1.dxycdn.com/p/s14/2025/0922/568/0046652811090600791.jpg!wh200)
![Laminin subunit gamma-1 Polyclonal Conjugated Antibody[C42540]](https://img1.dxycdn.com/p/s14/2025/0923/278/4431488150116040791.jpg!wh200)
