相关产品推荐更多 >
万千商家帮你免费找货
0 人在求购买到急需产品
- 详细信息
- 技术资料
- 免疫原:
Synthetic peptide corresponding to a region derived from internal residues of human solute carrier family 8 (sodium/lithium/calcium exchanger), member B1
- 形态:
liquid
- 保存条件:
Store at -20˚C
- 克隆性:
Polyclonal
- 适应物种:
Human
- 保质期:
12 months
- 抗原来源:
Rabbit
- 供应商:
南京赛戈巍生物科技有限公司
- 宿主:
Rabbit
- 应用范围:
WB IHC
- 靶点:
Uniprot:Q6J4K2
- 抗体英文名:
SLC24A6 Antibody
- 规格:
50ul/100ul
配方:Rabbit IgG in pH7.4 PBS, 0.05% NaN3, 40% Glycerol.
应用详情:Western blotting: 1:200-1:1000
Immunohistochemistry:1:25-1:100
图片:
![SLC24A6 Antibody[40213]](https://img1.dxycdn.com/p/s14/2025/0922/006/8298286776512600791.jpg)
Gel: 8%SDS-PAGE
Lysates (from left to right): Human placenta tissue and normal kidney tissue
Amount of lysate: 40ug per lane
Primary antibody: 1/200 dilution
Secondary antibody dilution: 1/8000
Exposure time: 1 minute
,
![SLC24A6 Antibody[40213]](https://img1.dxycdn.com/p/s14/2025/0922/126/6549161486512600791.jpg)
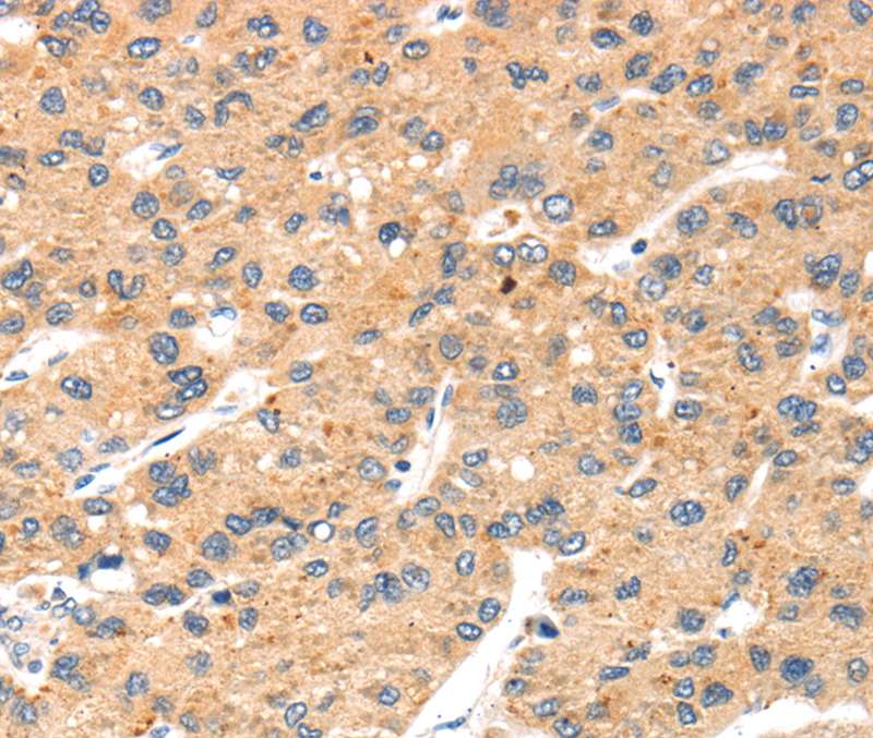
Immunohistochemical analysis of paraffin-embedded Human liver cancer tissue using #40213 at dilution 1/20.
,
![SLC24A6 Antibody[40213]](https://img1.dxycdn.com/p/s14/2025/0922/423/2321135037512600791.jpg)
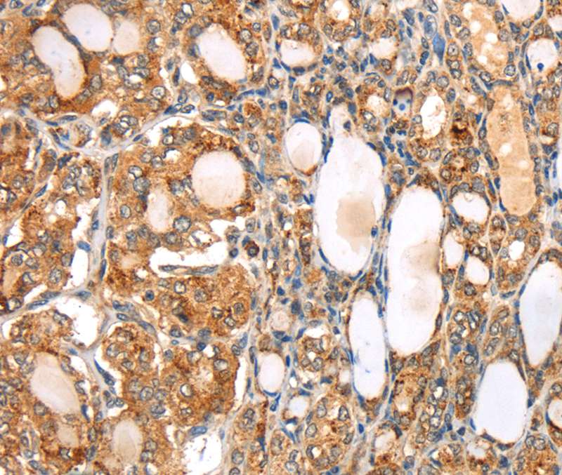
Immunohistochemical analysis of paraffin-embedded Human thyroid cancer tissue using #40213 at dilution 1/20.
风险提示:丁香通仅作为第三方平台,为商家信息发布提供平台空间。用户咨询产品时请注意保护个人信息及财产安全,合理判断,谨慎选购商品,商家和用户对交易行为负责。对于医疗器械类产品,请先查证核实企业经营资质和医疗器械产品注册证情况。
技术资料暂无技术资料 索取技术资料


![SLC24A6 Antibody[40213]](https://img1.dxycdn.com/p/s14/2025/0922/568/0046652811090600791.jpg)


![P311 Antibody[39353]](https://img1.dxycdn.com/p/s14/2025/0922/359/6146153295428599691.jpg!wh200)
![CHMP5 Conjugated Antibody[C46492]](https://img1.dxycdn.com/p/s14/2025/0923/305/2150219664296040791.jpg!wh200)
![Vesicle-associated membrane protein 7 Polyclonal Antibody[42365]](https://img1.dxycdn.com/p/s14/2025/0922/568/0046652811090600791.jpg!wh200)
