相关产品推荐更多 >
万千商家帮你免费找货
0 人在求购买到急需产品
- 详细信息
- 技术资料
- 免疫原:
Full length fusion protein
- 形态:
liquid
- 保存条件:
Store at -20˚C
- 克隆性:
Polyclonal
- 适应物种:
Human;Mouse
- 保质期:
12 months
- 抗原来源:
Rabbit
- 供应商:
南京赛戈巍生物科技有限公司
- 宿主:
Rabbit
- 应用范围:
WB IHC
- 靶点:
Uniprot:Q15544
- 抗体英文名:
TAF11 Antibody
- 规格:
50ul/100ul
别名:TAF2I; PRO2134; TAFII28; MGC:15243
配方:Rabbit IgG in pH7.4 PBS, 0.05% NaN3, 40% Glycerol.
应用详情:Western blotting: 1:500-1:2000
Immunohistochemistry:1:35-1:150
图片:
配方:Rabbit IgG in pH7.4 PBS, 0.05% NaN3, 40% Glycerol.
应用详情:Western blotting: 1:500-1:2000
Immunohistochemistry:1:35-1:150
图片:
![TAF11 Antibody[40133]](https://img1.dxycdn.com/p/s14/2025/0922/368/4498127096391600791.jpg)
Gel: 12%SDS-PAGE
Lysates (from left to right): Mouse brain and heart tissue, Jurkat, K562 and hela cell
Amount of lysate: 40ug per lane
Primary antibody: 1/800 dilution
Secondary antibody dilution: 1/8000
Exposure time: 20 seconds
,
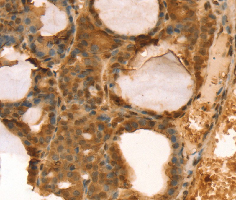
![TAF11 Antibody[40133]](https://img1.dxycdn.com/p/s14/2025/0922/909/6311963537391600791.jpg)
Immunohistochemical analysis of paraffin-embedded Human thyroid cancer tissue using #40133 at dilution 1/40.
风险提示:丁香通仅作为第三方平台,为商家信息发布提供平台空间。用户咨询产品时请注意保护个人信息及财产安全,合理判断,谨慎选购商品,商家和用户对交易行为负责。对于医疗器械类产品,请先查证核实企业经营资质和医疗器械产品注册证情况。
技术资料暂无技术资料 索取技术资料
TAF11 Antibody[40133]
询价


![TAF11 Antibody[40133]](https://img1.dxycdn.com/p/s14/2025/0922/568/0046652811090600791.jpg)


![MITF Polyclonal Antibody[41145]](https://img1.dxycdn.com/p/s14/2025/0922/568/0046652811090600791.jpg!wh200)
![ZNF680 Conjugated Antibody[C28791]](https://img1.dxycdn.com/p/s14/2025/0923/305/2150219664296040791.jpg!wh200)
![SH3GL1 Mouse mAb[64230]](https://img1.dxycdn.com/p/s14/2025/0922/632/2321321568067599691.jpg!wh200)
![Phospho-Beta-Catenin (Ser33 / Ser37) Polyclonal Antibody Biotin Conjugated[C91890Bio]](https://img1.dxycdn.com/p/s14/2025/0922/498/0460884283108299691.jpg!wh200)
