相关产品推荐更多 >
万千商家帮你免费找货
0 人在求购买到急需产品
- 详细信息
- 技术资料
- 免疫原:
Fusion protein corresponding to residues near the C terminal of human sulfotransferase family, cytosolic, 2B, member 1
- 形态:
liquid
- 保存条件:
Store at -20˚C
- 克隆性:
Polyclonal
- 适应物种:
Human
- 保质期:
12 months
- 抗原来源:
Rabbit
- 供应商:
南京赛戈巍生物科技有限公司
- 宿主:
Rabbit
- 应用范围:
WB IHC
- 靶点:
Uniprot:O00204
- 抗体英文名:
SULT2B1 Antibody
- 规格:
50ul/100ul
别名:HSST2
配方:Rabbit IgG in pH7.4 PBS, 0.05% NaN3, 40% Glycerol.
应用详情:
图片:
配方:Rabbit IgG in pH7.4 PBS, 0.05% NaN3, 40% Glycerol.
应用详情:
Western blotting: 1:500-1:2000
Immunohistochemistry: 1:100-1:200
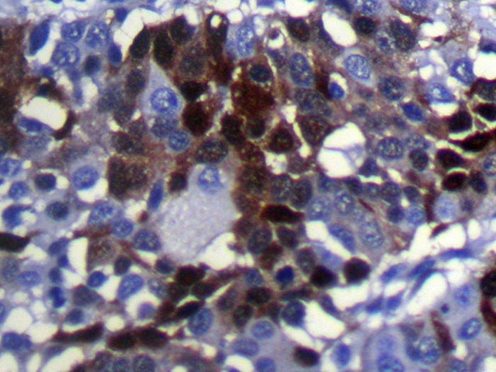
图片:
![SULT2B1 Antibody[40124]](https://img1.dxycdn.com/p/s14/2025/0922/675/2511023329091600791.jpg)
Gel: 8%SDS-PAGE
Lysate: 60ug 231 cellPrimary antibody: 1/800 dilution
Secondary antibody dilution: 1/8000
Exposure time: 5 minutes
,
![SULT2B1 Antibody[40124]](https://img1.dxycdn.com/p/s14/2025/0922/030/8484923579091600791.jpg)
Immunohistochemical analysis of paraffin-embedded Human Liver cancer tissue using #40124 at dilution 1/100.
风险提示:丁香通仅作为第三方平台,为商家信息发布提供平台空间。用户咨询产品时请注意保护个人信息及财产安全,合理判断,谨慎选购商品,商家和用户对交易行为负责。对于医疗器械类产品,请先查证核实企业经营资质和医疗器械产品注册证情况。
技术资料暂无技术资料 索取技术资料
SULT2B1 Antibody[40124]
询价


![SULT2B1 Antibody[40124]](https://img1.dxycdn.com/p/s14/2025/0922/568/0046652811090600791.jpg)


![EVA1A Antibody[40386]](https://img1.dxycdn.com/p/s14/2025/0922/568/0046652811090600791.jpg!wh200)
![ACOT7 Antibody[39350]](https://img1.dxycdn.com/p/s14/2025/0922/359/6146153295428599691.jpg!wh200)

![LDHB Conjugated Antibody[C56661]](https://img1.dxycdn.com/p/s14/2025/0922/632/2321321568067599691.jpg!wh200)
![OPA1 Rabbit Polyclonal Antibody[55619]](https://img1.dxycdn.com/p/s14/2025/0922/498/0460884283108299691.jpg!wh200)
