相关产品推荐更多 >
万千商家帮你免费找货
0 人在求购买到急需产品
- 详细信息
- 技术资料
- 免疫原:
Fusion protein corresponding to residues near the N terminal of human solute carrier family 25 (mitochondrial carrier; citrate transporter), member 1
- 形态:
liquid
- 保存条件:
Store at -20˚C
- 克隆性:
Polyclonal
- 适应物种:
Human
- 保质期:
12 months
- 抗原来源:
Rabbit
- 供应商:
南京赛戈巍生物科技有限公司
- 宿主:
Rabbit
- 应用范围:
IHC
- 靶点:
Uniprot:P53007
- 抗体英文名:
SLC25A1 Antibody
- 规格:
50ul/100ul
别名:CTP; SEA; D2L2AD; SLC20A3
配方:Rabbit IgG in pH7.4 PBS, 0.05% NaN3, 40% Glycerol.
应用详情: Immunohistochemistry:1:25-1:100
图片:
配方:Rabbit IgG in pH7.4 PBS, 0.05% NaN3, 40% Glycerol.
应用详情: Immunohistochemistry:1:25-1:100
图片:
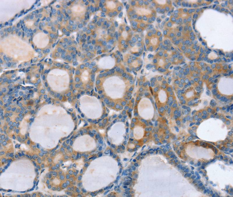
![SLC25A1 Antibody[40107]](https://img1.dxycdn.com/p/s14/2025/0922/490/4078804770681600791.jpg)
Immunohistochemical analysis of paraffin-embedded Human thyroid cancer tissue using #40107 at dilution 1/25.
,
![SLC25A1 Antibody[40107]](https://img1.dxycdn.com/p/s14/2025/0922/257/4817113570681600791.jpg)
Immunohistochemical analysis of paraffin-embedded Human liver cancer tissue using #40107 at dilution 1/25.
风险提示:丁香通仅作为第三方平台,为商家信息发布提供平台空间。用户咨询产品时请注意保护个人信息及财产安全,合理判断,谨慎选购商品,商家和用户对交易行为负责。对于医疗器械类产品,请先查证核实企业经营资质和医疗器械产品注册证情况。
技术资料暂无技术资料 索取技术资料
SLC25A1 Antibody[40107]
询价


![SLC25A1 Antibody[40107]](https://img1.dxycdn.com/p/s14/2025/0922/568/0046652811090600791.jpg)


![DNAJB4 Antibody[47067]](https://img1.dxycdn.com/p/s14/2025/0923/496/0462304380155040791.jpg!wh200)
![TNFRSF11B Mouse mAb[64334]](https://img1.dxycdn.com/p/s14/2025/0922/632/2321321568067599691.jpg!wh200)
![HTR1D Rabbit Polyclonal Antibody[54403]](https://img1.dxycdn.com/p/s14/2025/0922/498/0460884283108299691.jpg!wh200)
