相关产品推荐更多 >
万千商家帮你免费找货
0 人在求购买到急需产品
- 详细信息
- 技术资料
- 免疫原:
Fusion protein corresponding to residues near the C terminal of human SNF2 histone linker PHD RING helicase, E3 ubiquitin protein ligase
- 形态:
liquid
- 保存条件:
Store at -20˚C
- 克隆性:
Polyclonal
- 适应物种:
Human
- 保质期:
12 months
- 抗原来源:
Rabbit
- 供应商:
南京赛戈巍生物科技有限公司
- 宿主:
Rabbit
- 应用范围:
IHC
- 靶点:
Uniprot:Q149N8
- 抗体英文名:
SHPRH Antibody
- 规格:
50ul/100ul
别名:bA545I5.2
配方:Rabbit IgG in pH7.4 PBS, 0.05% NaN3, 40% Glycerol.
应用详情: Immunohistochemistry:1:30-1:150
图片:
配方:Rabbit IgG in pH7.4 PBS, 0.05% NaN3, 40% Glycerol.
应用详情: Immunohistochemistry:1:30-1:150
图片:
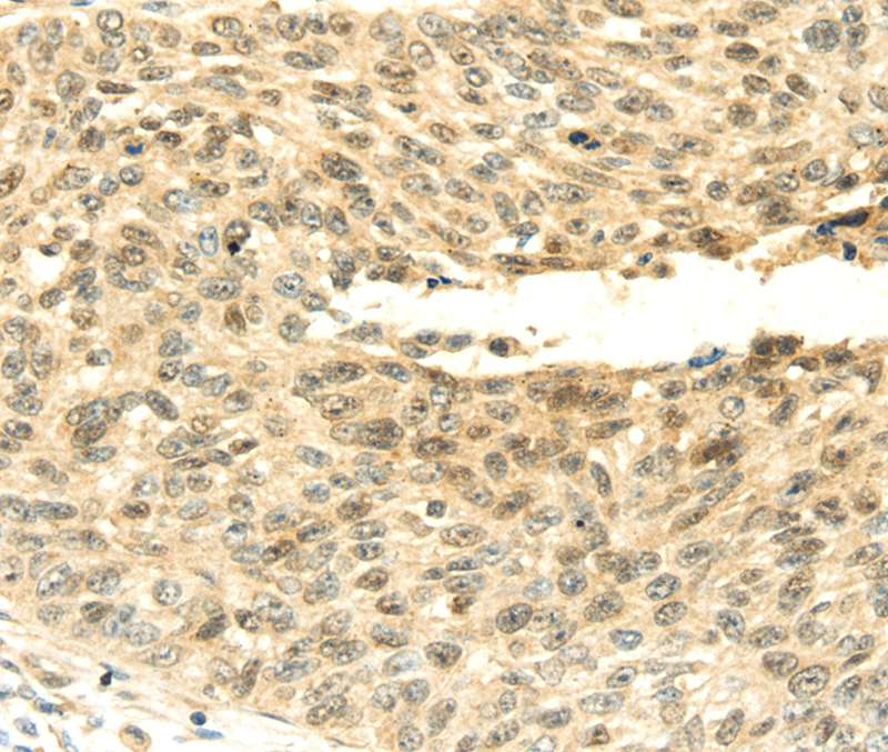
![SHPRH Antibody[40104]](https://img1.dxycdn.com/p/s14/2025/0922/864/2914090483581600791.jpg)
Immunohistochemical analysis of paraffin-embedded Human lung cancer tissue using #40104 at dilution 1/45.
风险提示:丁香通仅作为第三方平台,为商家信息发布提供平台空间。用户咨询产品时请注意保护个人信息及财产安全,合理判断,谨慎选购商品,商家和用户对交易行为负责。对于医疗器械类产品,请先查证核实企业经营资质和医疗器械产品注册证情况。
技术资料暂无技术资料 索取技术资料
SHPRH Antibody[40104]
询价


![SHPRH Antibody[40104]](https://img1.dxycdn.com/p/s14/2025/0922/568/0046652811090600791.jpg)


![TXNDC11 Antibody[42799]](https://img1.dxycdn.com/p/s14/2025/0922/568/0046652811090600791.jpg!wh200)
![ALDH1A1 Rabbit mAb[48723]](https://img1.dxycdn.com/p/s14/2025/0923/496/0462304380155040791.jpg!wh200)
![PHLA2 Antibody[33924]](https://img1.dxycdn.com/p/s14/2025/0922/359/6146153295428599691.jpg!wh200)
![Nephrin Polyclonal Antibody PE Conjugated[C90454PE]](https://img1.dxycdn.com/p/s14/2025/0922/498/0460884283108299691.jpg!wh200)
