相关产品推荐更多 >
万千商家帮你免费找货
0 人在求购买到急需产品
- 详细信息
- 技术资料
- 免疫原:
A synthetic peptide of human AQP0.
- 形态:
liquid
- 保存条件:
Store at -20˚C
- 克隆性:
Polyclonal
- 适应物种:
Human;Mouse;Rat
- 保质期:
12 months
- 抗原来源:
Rabbit
- 供应商:
南京赛戈巍生物科技有限公司
- 宿主:
Rabbit
- 应用范围:
WB,IHC
- 靶点:
Uniprot:P30301
- 抗体英文名:
AQP0 antibody
- 规格:
50ul/100ul
别名:LIM1;MP26;MIP26;MIP;
配方:Supplied at 1.0mg/mL in phosphate buffered saline (without Mg2+ and Ca2+), pH 7.4, 150mM NaCl, 0.02% sodium azide and 50% glycerol.
应用详情:Western blotting: 1:500 - 1:1000
图片:
配方:Supplied at 1.0mg/mL in phosphate buffered saline (without Mg2+ and Ca2+), pH 7.4, 150mM NaCl, 0.02% sodium azide and 50% glycerol.
应用详情:Western blotting: 1:500 - 1:1000
图片:
![AQP0 antibody[38479]](https://img1.dxycdn.com/p/s14/2025/0922/181/8444643260880899691.jpg)
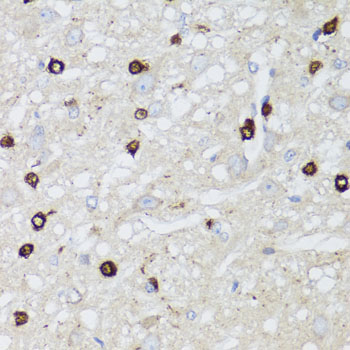
Immunohistochemistry of paraffin-embedded mouse brain using MIP antibody at dilution of 1:100 (40x lens).
,
![AQP0 antibody[38479]](https://img1.dxycdn.com/p/s14/2025/0922/565/6100199850880899691.jpg)
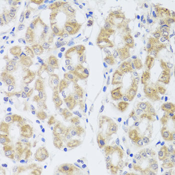
Immunohistochemistry of paraffin-embedded human stomach using MIP antibody at dilution of 1:100 (40x lens).
,
![AQP0 antibody[38479]](https://img1.dxycdn.com/p/s14/2025/0922/288/0082313750880899691.jpg)
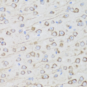
Immunohistochemistry of paraffin-embedded rat brain using MIP antibody at dilution of 1:100 (40x lens).
,
![AQP0 antibody[38479]](https://img1.dxycdn.com/p/s14/2025/0922/372/4895871950880899691.jpg)
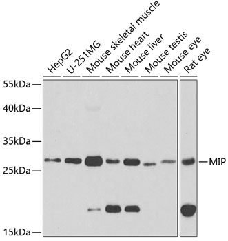
Western blot analysis of extracts of various cell lines, using MIP antibody at 1:1000 dilution.
风险提示:丁香通仅作为第三方平台,为商家信息发布提供平台空间。用户咨询产品时请注意保护个人信息及财产安全,合理判断,谨慎选购商品,商家和用户对交易行为负责。对于医疗器械类产品,请先查证核实企业经营资质和医疗器械产品注册证情况。
技术资料暂无技术资料 索取技术资料
AQP0 antibody[38479]
询价


![AQP0 antibody[38479]](https://img1.dxycdn.com/p/s14/2025/0922/359/6146153295428599691.jpg)


![UGT1A6 Antibody[43176]](https://img1.dxycdn.com/p/s14/2025/0922/568/0046652811090600791.jpg!wh200)
![HDAC4 Rabbit mAb[49163]](https://img1.dxycdn.com/p/s14/2025/0923/496/0462304380155040791.jpg!wh200)
![MOL1A Antibody[33946]](https://img1.dxycdn.com/p/s14/2025/0922/359/6146153295428599691.jpg!wh200)
![Endothelin 2 Polyclonal Antibody Biotin Conjugated[C90664Bio]](https://img1.dxycdn.com/p/s14/2025/0922/498/0460884283108299691.jpg!wh200)
