相关产品推荐更多 >
万千商家帮你免费找货
0 人在求购买到急需产品
- 详细信息
- 技术资料
- 免疫原:
Recombinant fusion protein of human PDGFRA (NP_006197.1).
- 形态:
liquid
- 保存条件:
Store at -20˚C
- 克隆性:
Polyclonal
- 适应物种:
Human;Mouse;Rat
- 保质期:
12 months
- 抗原来源:
Rabbit
- 供应商:
南京赛戈巍生物科技有限公司
- 宿主:
Rabbit
- 应用范围:
WB,IHC,IF
- 靶点:
Uniprot:P16234
- 抗体英文名:
PDGFRA antibody
- 规格:
50ul/100ul
别名:PDGFRA;CD140A;PDGFR-2;PDGFR2;GAS9;RHEPDGFRA
配方:PBS with 0.02% sodium azide,50% glycerol,pH7.3.
应用详情:WB 1:500 - 1:2000
IHC 1:50 - 1:200
IF 1:50 - 1:200
图片:
配方:PBS with 0.02% sodium azide,50% glycerol,pH7.3.
应用详情:WB 1:500 - 1:2000
IHC 1:50 - 1:200
IF 1:50 - 1:200
图片:
![PDGFRA antibody[38364]](https://img1.dxycdn.com/p/s14/2025/0922/817/4220206954550899691.jpg)
Western blot analysis of extracts of various cell lines, using PDGFRA antibody.
,
![PDGFRA antibody[38364]](https://img1.dxycdn.com/p/s14/2025/0922/868/8062527936550899691.jpg)
Immunohistochemistry of paraffin-embedded mouse heart using PDGFRA Rabbit pAb.
,
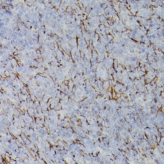
![PDGFRA antibody[38364]](https://img1.dxycdn.com/p/s14/2025/0922/955/0466735936550899691.jpg)
Immunohistochemistry of paraffin-embedded rat spleen using PDGFRA Rabbit pAb.
,
![PDGFRA antibody[38364]](https://img1.dxycdn.com/p/s14/2025/0922/013/8429815535550899691.jpg)
Immunofluorescence analysis of U-2 OS cells using PDGFRA Rabbit pAb.
风险提示:丁香通仅作为第三方平台,为商家信息发布提供平台空间。用户咨询产品时请注意保护个人信息及财产安全,合理判断,谨慎选购商品,商家和用户对交易行为负责。对于医疗器械类产品,请先查证核实企业经营资质和医疗器械产品注册证情况。
技术资料暂无技术资料 索取技术资料
PDGFRA antibody[38364]
询价


![PDGFRA antibody[38364]](https://img1.dxycdn.com/p/s14/2025/0922/359/6146153295428599691.jpg)


![EEF1G Conjugated Antibody[C56815]](https://img1.dxycdn.com/p/s14/2025/0922/632/2321321568067599691.jpg!wh200)
![BRSK2 Antibody[43854]](https://img1.dxycdn.com/p/s14/2025/0922/568/0046652811090600791.jpg!wh200)
![ADAR1 Conjugated Antibody[C33822]](https://img1.dxycdn.com/p/s14/2025/0923/278/4431488150116040791.jpg!wh200)
![KRT17 Rabbit Polyclonal Antibody[53012]](https://img1.dxycdn.com/p/s14/2025/0922/498/0460884283108299691.jpg!wh200)
