相关产品推荐更多 >
万千商家帮你免费找货
0 人在求购买到急需产品
- 详细信息
- 技术资料
- 免疫原:
A synthetic peptide of human pan-AKT.
- 形态:
liquid
- 保存条件:
Store at -20˚C
- 克隆性:
Polyclonal
- 适应物种:
Human;Mouse;Rat
- 保质期:
12 months
- 抗原来源:
Rabbit
- 供应商:
南京赛戈巍生物科技有限公司
- 宿主:
Rabbit
- 应用范围:
WB,IHC,IF
- 靶点:
Uniprot:P31749
- 抗体英文名:
pan-AKT antibody
- 规格:
50ul/100ul
配方:Supplied at 1.0mg/mL in phosphate buffered saline (without Mg2+ and Ca2+), pH 7.4, 150mM NaCl, 0.02% sodium azide and 50% glycerol.
应用详情:Western blotting: 1:500 - 1:2000
图片:
![pan-AKT antibody[38602]](https://img1.dxycdn.com/p/s14/2025/0922/832/0829087203911899691.jpg)
Immunohistochemistry of paraffin-embedded human mammary cancer using AKT antibody at dilution of 1:100 (40x lens).
,
![pan-AKT antibody[38602]](https://img1.dxycdn.com/p/s14/2025/0922/891/6524057543911899691.jpg)
Immunohistochemistry of paraffin-embedded human uterine cancer using AKT antibody at dilution of 1:100 (40x lens).
,
![pan-AKT antibody[38602]](https://img1.dxycdn.com/p/s14/2025/0922/137/4688644154911899691.jpg)
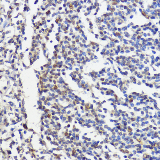
Immunohistochemistry of paraffin-embedded human tonsil using AKT antibody at dilution of 1:100 (40x lens).
,
![pan-AKT antibody[38602]](https://img1.dxycdn.com/p/s14/2025/0922/721/2365677113911899691.jpg)
Immunohistochemistry of paraffin-embedded human lung cancer using AKT antibody at dilution of 1:100 (40x lens).
,
![pan-AKT antibody[38602]](https://img1.dxycdn.com/p/s14/2025/0922/027/6522530631911899691.jpg)
Western blot analysis of extracts of various cell lines, using AKT antibody at 1:1000 dilution.
,
![pan-AKT antibody[38602]](https://img1.dxycdn.com/p/s14/2025/0922/326/8087449731911899691.jpg)
Immunofluorescence analysis of L929 cells using AKT antibody at dilution of 1:100. Blue: DAPI for nuclear staining.
风险提示:丁香通仅作为第三方平台,为商家信息发布提供平台空间。用户咨询产品时请注意保护个人信息及财产安全,合理判断,谨慎选购商品,商家和用户对交易行为负责。对于医疗器械类产品,请先查证核实企业经营资质和医疗器械产品注册证情况。
技术资料暂无技术资料 索取技术资料


![pan-AKT antibody[38602]](https://img1.dxycdn.com/p/s14/2025/0922/359/6146153295428599691.jpg)


![TUSC5 Antibody[43173]](https://img1.dxycdn.com/p/s14/2025/0922/568/0046652811090600791.jpg!wh200)
![Phospho-Hormone sensitive lipase (S853) Rabbit mAb[13391]](https://img1.dxycdn.com/p/s14/2025/0923/496/0462304380155040791.jpg!wh200)
![ZNF76 Antibody[33760]](https://img1.dxycdn.com/p/s14/2025/0922/359/6146153295428599691.jpg!wh200)
![NR2D Polyclonal Antibody HRP Conjugated[C90575HRP]](https://img1.dxycdn.com/p/s14/2025/0922/498/0460884283108299691.jpg!wh200)
