相关产品推荐更多 >
万千商家帮你免费找货
0 人在求购买到急需产品
- 详细信息
- 文献和实验
- 技术资料
- 免疫原:
Peptide sequence around phosphorylation site of threonine 99 (Q-E-T(p)-Q-R) derived from Human Bloom Syndrome.
- 形态:
liquid
- 保存条件:
Store at -20˚C
- 克隆性:
Polyclonal
- 适应物种:
Human
- 保质期:
12 months
- 抗原来源:
Rabbit
- 供应商:
南京赛戈巍生物科技有限公司
- 宿主:
Rabbit
- 应用范围:
WB IHC
- 靶点:
Uniprot:P54132
- 抗体英文名:
Bloom Syndrome (Phospho-Thr99) Antibody
- 规格:
50ul/100ul
配方:Rabbit IgG in phosphate buffered saline (without Mg2+ and Ca2+), pH 7.4, 150mM NaCl, 0.02% sodium azide and 50% glycerol.
应用详情:
Western blotting: 1:500~1:1000
Immunohistochemistry: 1:50~1:100
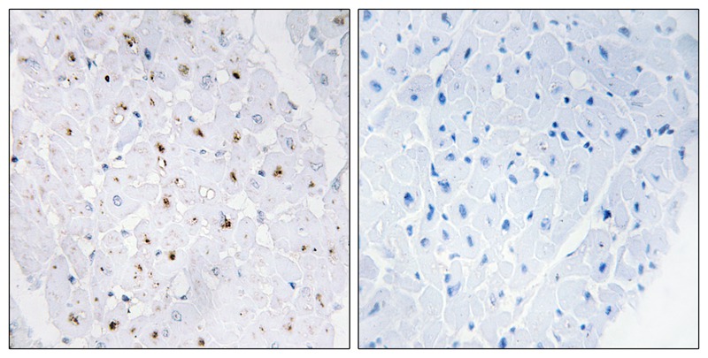
图片:

Western blot analysis of extracts from HepG2 cells using Bloom Syndrome Protein (Phospho-Thr99) Antibody #11681.The lane on the right is treated with the antigen-specific peptide.
,

Immunohistochemical analysis of paraffin-embedded human heart tissue, using Bloom Syndrome Protein (Phospho-Thr99) antibody #11681 (left)or the same antibody preincubated with blocking peptide (right).
风险提示:丁香通仅作为第三方平台,为商家信息发布提供平台空间。用户咨询产品时请注意保护个人信息及财产安全,合理判断,谨慎选购商品,商家和用户对交易行为负责。对于医疗器械类产品,请先查证核实企业经营资质和医疗器械产品注册证情况。
文献和实验Laboratory Tests for the Antiphospholipid Syndrome
Antiphospholipid syndrome (APS) is an autoimmune disorder characterized by recurrent vascular thrombosis (VT) and/or pregnancy morbidity (PM) in the presence of persistent antiphospholipid antibodies (aPL), detected by lupus anticoagulant (LA
Molecular Diagnosis of Severe Acute Respiratory Syndrome
The etiologic agent of severe acute respiratory syndrome (SARS) has been identified as a new type of coronavirus, known as SARS-coronavirus (SARS-CoV). Although the SARS epidemic has subsided, many authorities, including the World Health
Anticardiolipin Antibody and Anti-beta 2 Glycoprotein I Antibody Assays
Antiphospholipid syndrome (APS) is an autoimmune disease and is a risk factor for a number of clinical manifestations; the classic presentations include fetal death or thrombosis (arterial or venous thromboembolism), in the presence
技术资料暂无技术资料 索取技术资料






![CD239 Mouse mAb[63309]](https://img1.dxycdn.com/p/s14/2025/0922/632/2321321568067599691.jpg!wh200)
![NuMA Polyclonal Antibody RBITC Conjugated[C91989RBITC]](https://img1.dxycdn.com/p/s14/2025/0922/498/0460884283108299691.jpg!wh200)
![GLE1 Polyclonal Antibody[27946]](https://img1.dxycdn.com/p/s14/2025/0923/305/2150219664296040791.jpg!wh200)

