相关产品推荐更多 >
万千商家帮你免费找货
0 人在求购买到急需产品
- 详细信息
- 文献和实验
- 技术资料
- 免疫原:
Peptide sequence around phosphorylation site of threonine 410(T-S-T(p)-F-C) derived from Human PKCζ.
- 形态:
liquid
- 保存条件:
Store at -20˚C
- 克隆性:
Polyclonal
- 适应物种:
Human;Mouse;Rat
- 保质期:
12 months
- 抗原来源:
Rabbit
- 供应商:
南京赛戈巍生物科技有限公司
- 宿主:
Rabbit
- 应用范围:
IHC
- 靶点:
Uniprot:Q05513
- 抗体英文名:
PKCζ(Phospho-Thr410) Antibody
- 规格:
50ul/100ul
配方:Supplied at 1.0mg/mL in phosphate buffered saline (without Mg2+ and Ca2+), pH 7.4, 150mM NaCl, 0.02% sodium azide and 50% glycerol.
应用详情:
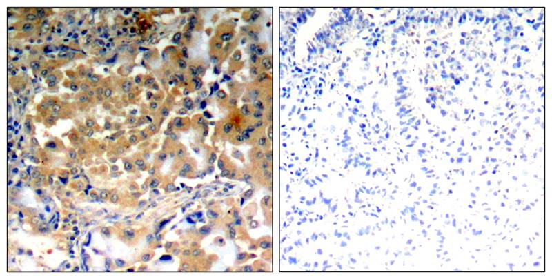
图片:

Immunohistochemical analysis of paraffin-embedded human lung carcinoma tissue using PKCζ (Phospho-Thr410) antibody (#11314).
风险提示:丁香通仅作为第三方平台,为商家信息发布提供平台空间。用户咨询产品时请注意保护个人信息及财产安全,合理判断,谨慎选购商品,商家和用户对交易行为负责。对于医疗器械类产品,请先查证核实企业经营资质和医疗器械产品注册证情况。
文献和实验) Antibody W IHC 9378 Phospho-PKCzeta/lambda (Thr410/403) Antibody W IHC 我只想要检测PKC的激活程度,并不要求激活哪种亚型,应该用那一种呢? chuckdouble licanming wrote: 我的实验是用VEGF处理细胞后测定细胞PKC激活水平,拟采用Western blot的方法,用ECL法检测,这样分析PKC激活程度结果国际上认可吗?
运用Cell Based Elisa检测信号通路蛋白和磷酸化蛋白
using Phospho-p38 antibody (A) and Total-p38 antibody (B). Cell Based Elisa were performed directly in the 96-well plates using Phospho-p38 and Total-p38 antibodies (C). Figure 3: JNK detection with FACECells were serum-starved for 16 hours
上海西唐生物科技有限公司 021-55229872, 65333639 www.westang.com 大鼠蛋白激酶 C(PKC)ELISA 试剂盒 ( 用于血清、血浆、细胞培养上清液和其它生物体液内 ) 原理 本实验采用双抗体夹心 ABC-ELISA 法。用抗大鼠 PKC 单抗包被于酶标板上,标准品和样品中的 PKC 与单抗结合,加入生物素化的抗大鼠 PKC ,形成免疫复合物连接在板上,辣根
技术资料暂无技术资料 索取技术资料






![Stat3 Rabbit mAb[48780]](https://img1.dxycdn.com/p/s14/2025/0923/496/0462304380155040791.jpg!wh200)
![PTTG2 Antibody[37021]](https://img1.dxycdn.com/p/s14/2025/0922/359/6146153295428599691.jpg!wh200)


