相关产品推荐更多 >
万千商家帮你免费找货
0 人在求购买到急需产品
- 详细信息
- 文献和实验
- 技术资料
- 免疫原:
Peptide sequence around phosphorylation site of threonine 505 (L-V-T(p)-G-A) derived from Human NFkB-p65.
- 形态:
liquid
- 保存条件:
Store at -20˚C
- 克隆性:
Polyclonal
- 适应物种:
Human
- 保质期:
12 months
- 抗原来源:
Rabbit
- 供应商:
南京赛戈巍生物科技有限公司
- 宿主:
Rabbit
- 应用范围:
WB IHC
- 靶点:
Uniprot:Q04206
- 抗体英文名:
NFkB-p65(Phospho-Thr505) Antibody
- 规格:
50ul/100ul
配方:Supplied at 1.0mg/mL in phosphate buffered saline (without Mg2+ and Ca2+), pH 7.4, 150mM NaCl, 0.02% sodium azide and 50% glycerol.
应用详情:
Predicted MW: 65kd
Western blotting: 1:500~1:1000
Immunohistochemistry: 1:50~1:100
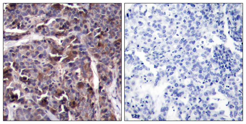
图片:

Western blot analysis of extracts from HL60 cells untreated or treated with TNF-a using NFkB-p65(Phospho-Thr505) Antibody #11166.
,

Immunohistochemical analysis of paraffin-embedded human breast carcinoma tissue using NFkB-p65(Phospho-Thr505) Antibody #11166(left) or the same antibody preincubated with blocking peptide(right).
风险提示:丁香通仅作为第三方平台,为商家信息发布提供平台空间。用户咨询产品时请注意保护个人信息及财产安全,合理判断,谨慎选购商品,商家和用户对交易行为负责。对于医疗器械类产品,请先查证核实企业经营资质和医疗器械产品注册证情况。
文献和实验人核转录因子p65(NF-kB p65)ELISA试剂盒 说明书
上海西唐生物科技有限公司 021-55229872, 65333639 www.westang.com 人核转录因子p65 ( NF - kB p65 )ELISA 试剂盒 原理 本实验采用双抗体夹心 ABC-ELISA 法。用抗人 NF- kB p65单抗包被于酶标板上,标准品和样品中的 NF- kB p65 与单抗结合,加入生物素化的抗人NF- kB p65 ,形成免疫复合
大鼠核转录因子p65(NF-kB p65)ELISA试剂盒 说明书
上海西唐生物科技有限公司 021-55229872, 65333639 www.westang.com 大鼠核转录因子 p65(NF- kB p65 )ELISA 试剂盒 原理 本实验采用双抗体夹心 ABC-ELISA 法。用抗大鼠 NF- kB p65 单抗包被于酶标板上,标准品和样品中的 NF- kB p65 与单抗结合,加入生物素化的抗大鼠 NF- kB p65 ,形成免疫复合物连接在板上,辣根
小鼠核转录因子p65(NF-kB p65)ELISA试剂盒 说明书
上海西唐生物科技有限公司 021-55229872, 65333639 www.westang.com 小鼠核转录因子p65 ( NF - kB p65 )ELISA 试剂盒 原理 本实验采用双抗体夹心 ABC-ELISA 法。用抗小鼠 NF- kB p65单抗包被于酶标板上,标准品和样品中的 NF
技术资料暂无技术资料 索取技术资料





![CXCL10/IP10 Polyclonal Antibody HRP Conjugated[C91631HRP]](https://img1.dxycdn.com/p/s14/2025/0922/498/0460884283108299691.jpg!wh200)
![GIGYF2 Polyclonal Antibody[27606]](https://img1.dxycdn.com/p/s14/2025/0923/305/2150219664296040791.jpg!wh200)

![RAD52 Conjugated Antibody[C37023]](https://img1.dxycdn.com/p/s14/2025/0923/278/4431488150116040791.jpg!wh200)


