相关产品推荐更多 >
万千商家帮你免费找货
0 人在求购买到急需产品
- 详细信息
- 文献和实验
- 技术资料
- 免疫原:
Peptide sequence around phosphorylation site of serine 315 (S-S-S(p)-P-Q) derived from Human p53.
- 形态:
liquid
- 保存条件:
Store at -20˚C
- 克隆性:
Polyclonal
- 适应物种:
Human;Mouse;Rat
- 保质期:
12 months
- 抗原来源:
Rabbit
- 供应商:
南京赛戈巍生物科技有限公司
- 宿主:
Rabbit
- 应用范围:
WB IHC IF
- 靶点:
Uniprot:P04637
- 抗体英文名:
p53(Phospho-Ser315) Antibody
- 规格:
50ul/100ul
配方:Supplied at 1.0mg/mL in phosphate buffered saline (without Mg2+ and Ca2+), pH 7.4, 150mM NaCl, 0.02% sodium azide and 50% glycerol.
应用详情:
Predicted MW: 53kd
Western blotting: 1:500~1:1000
Immunohistochemistry: 1:50~1:100
Immunofluorescence: 1:100~1:200
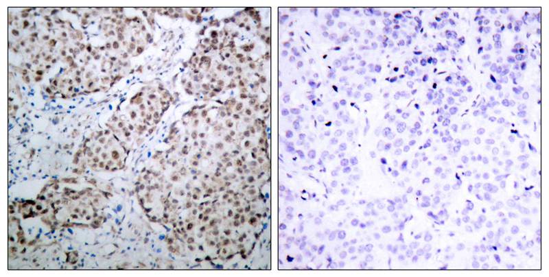
图片:

Western blot analysis of extracts from Hela cells using p53(Phospho-Ser315) Antibody #11100(Lane 2) and the same antibody preincubated with blocking peptide(Lane1).
,

Immunohistochemical analysis of paraffin-embedded human breast carcinoma tissue using p53(Phospho-Ser315) Antibody #11100(left) or the same antibody preincubated with blocking peptide(right).
,

Immunofluorescence staining of methanol-fixed Hela cells using p53(Phospho-Ser315) Antibody #11100.
风险提示:丁香通仅作为第三方平台,为商家信息发布提供平台空间。用户咨询产品时请注意保护个人信息及财产安全,合理判断,谨慎选购商品,商家和用户对交易行为负责。对于医疗器械类产品,请先查证核实企业经营资质和医疗器械产品注册证情况。
文献和实验【求助】P53的翻译后修饰都有哪些? 怎样验证其修饰后与靶标启动子的结合活性的变化?
变异体取代能被脯氨酸激酶直接识别的脯氨酸残基后对p38磷酸化Ser-46所起的作用较弱。与此结论相一致,Ser-47变异体同野生型p53相比诱导凋亡的能力降低了5倍,此变异体转录激活两种p53凋亡靶基因(p53AIP1 ,***3)的能力减弱。p53的47位密码子多态现象在癌症发生、进展、治疗效果中可能起一定作用[19]。 p53 C-末端区域的Ser315、Ser371、Ser376 、Ser378 和Ser392的磷酸化是众所周知的,最近研究显示其他位点也可以发生磷酸
人总P53蛋白(Total P53)ELISA试剂盒 说明书
上海西唐生物科技有限公司 021-55229872, 65333639 www.westang.com 人总P53 蛋白 ( Total P53 )ELISA 试剂盒 原理 本实验采用双抗体夹心 ABC-ELISA 法。用抗人 P53 单抗包被于酶标板上,标准品和样品中的 P53与单抗结合,加入生物素化的抗人 P53 ,形成免疫复合物连接在板上,辣根
豚鼠总P53蛋白(Total P53)ELISA试剂盒 说明书
上海西唐生物科技有限公司 021-55229872, 65333639 www.westang.com 豚鼠总P53 蛋白 ( Total P53 )ELISA 试剂盒 原理 本实验采用双抗体夹心 ABC-ELISA 法。用抗豚鼠 P53 单抗包被于酶标板上,标准品和样品中的 P53与单抗结合,加入生物素化的抗豚鼠 P53 ,形成免疫复合物连接在板上,辣根
技术资料暂无技术资料 索取技术资料





![Luciferase Mouse Monoclonal Antibody(7C9)[44184]](https://img1.dxycdn.com/p/s14/2025/0922/568/0046652811090600791.jpg!wh200)
![CFHL1 Polyclonal Antibody FITC Conjugated[C92801FITC]](https://img1.dxycdn.com/p/s14/2025/0922/498/0460884283108299691.jpg!wh200)
![CALCA Conjugated Antibody[C32898]](https://img1.dxycdn.com/p/s14/2025/0923/278/4431488150116040791.jpg!wh200)


