相关产品推荐更多 >
万千商家帮你免费找货
0 人在求购买到急需产品
- 详细信息
- 文献和实验
- 技术资料
- 免疫原:
Synthesized peptide derived from C-terminal of human CD40.
- 形态:
liquid
- 保存条件:
Store at -20˚C
- 克隆性:
Polyclonal
- 适应物种:
Human
- 保质期:
12 months
- 抗原来源:
Rabbit
- 供应商:
南京赛戈巍生物科技有限公司
- 宿主:
Rabbit
- 应用范围:
WB IHC
- 靶点:
Uniprot:P25942
- 抗体英文名:
CD40 Antibody
- 规格:
50ul/100ul
配方:Rabbit IgG in phosphate buffered saline (without Mg2+ and Ca2+), pH 7.4, 150mM NaCl, 0.02% sodium azide and 50% glycerol.
应用详情:Western blotting: 1:500~1:3000
Immunohistochemistry: 1:50~1:100
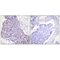
图片:

Immunohistochemistry analysis of paraffin-embedded human breast carcinoma tissue using CD40 antibody #33507.
,

Western blot analysis of extracts from COS7 cells, using CD40 antibody #33507.
,

Western blot analysis of extracts from JK cells (Lane 2), K562 cells (Lane 3) and 293 cells (Lane 4), using CD40 antiobdy #33507. The lane on the left is treated with synthesized peptide.
风险提示:丁香通仅作为第三方平台,为商家信息发布提供平台空间。用户咨询产品时请注意保护个人信息及财产安全,合理判断,谨慎选购商品,商家和用户对交易行为负责。对于医疗器械类产品,请先查证核实企业经营资质和医疗器械产品注册证情况。
文献和实验CD40 分子 CD40 常用单克隆抗体或代号: G28- 5,EA- 5 主要表达细胞: B,M,FDC,并指细胞,上皮 [B] 分子质量(kDa)和结构: gp50(TNFR- SF) 功 能: B细胞生长、分化和记忆细胞产生,配体为CD40L,T- B相互作用 CD40 Plays a central role in regulating cell-mediated
0:00 人CD40活化B细胞的分离0 0:14 内容简介14 1:46 制备饲养细胞106 2:27 制备CD40刺激用的外周血单个核细胞(PBMC)147 4:38 制备饲养细胞278 8:33 CD40刺激作用513 9:50 转种590 12:20 分析CD40活化B细胞740 12:55 结论775 人CD40活化B细胞的分离本视频来源于网络,如有异议请联系我们,我们将在5个工作日内作出处理。
Generation of Antibody Molecules Through Antibody Engineering
been overcome to a large extent using genetic-engineering techniques to produce chimeric mouse/human and completely human antibodies. Such an approach is particularly suitable because of the domain structure of the antibody molecule ( 2 ), where functional
技术资料暂无技术资料 索取技术资料





![VPS35 Antibody[43824]](https://img1.dxycdn.com/p/s14/2025/0922/568/0046652811090600791.jpg!wh200)

![NKCC1/SLC12A2 Polyclonal Antibody FITC Conjugated[C92551FITC]](https://img1.dxycdn.com/p/s14/2025/0922/498/0460884283108299691.jpg!wh200)
![MUC20 Conjugated Antibody[C35824]](https://img1.dxycdn.com/p/s14/2025/0923/278/4431488150116040791.jpg!wh200)

