相关产品推荐更多 >
万千商家帮你免费找货
0 人在求购买到急需产品
- 详细信息
- 文献和实验
- 技术资料
- 免疫原:
Recombinant fusion protein of human UBE2C (NP_008950.1).
- 形态:
liquid
- 保存条件:
Store at -20˚C
- 克隆性:
Polyclonal
- 适应物种:
Human;Mouse;Rat
- 保质期:
12 months
- 抗原来源:
Rabbit
- 供应商:
南京赛戈巍生物科技有限公司
- 宿主:
Rabbit
- 应用范围:
WB,IHC,IF
- 靶点:
Uniprot:O00762
- 抗体英文名:
UBE2C Antibody
- 规格:
50ul/100ul
配方:PBS with 0.02% sodium azide,50% glycerol,pH7.3.
应用详情:WB 1:500 - 1:2000
IHC 1:50 - 1:200
IF 1:50 - 1:100
图片:

Western blot analysis of extracts of various cell lines, using UBE2C antibody.
,

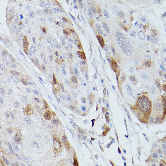
Immunohistochemistry of paraffin-embedded human colon carcinoma using UBE2C Rabbit pAb.
,

Immunohistochemistry of paraffin-embedded human esophageal cancer using UBE2C Rabbit pAb.
,

Immunofluorescence analysis of A549 cells using UBE2C Rabbit pAb.
,

Immunofluorescence analysis of U-2 OS cells using UBE2C Rabbit pAb.
风险提示:丁香通仅作为第三方平台,为商家信息发布提供平台空间。用户咨询产品时请注意保护个人信息及财产安全,合理判断,谨慎选购商品,商家和用户对交易行为负责。对于医疗器械类产品,请先查证核实企业经营资质和医疗器械产品注册证情况。
文献和实验Generation of Antibody Molecules Through Antibody Engineering
been overcome to a large extent using genetic-engineering techniques to produce chimeric mouse/human and completely human antibodies. Such an approach is particularly suitable because of the domain structure of the antibody molecule ( 2 ), where functional
今天,笔者就以一篇 SCI 文章为例,带各位小可爱看一看怎么才能更快 GET 一篇近期发表的生信分析文章中主要讲了些什么,以及我们该如何学习大佬的思路并化为己用。 今天,用来举例的这篇文章是发表在 International Journal of Molecular Sciences 的A Comprehensive Bioinformatics Analysis of UBE2C in Cancers(DOI:10.3390/ijms20092228),影响因子在 4.5,是纯生信文章中
The importance of antibody molecules was first recognized in the 1890s, when it was shown that immunity to tetanus and diphtheria was caused by antibodies against the bacterial exotoxins (1 ). Around the same time, it was shown that antisera
技术资料暂无技术资料 索取技术资料





![Goat Anti-Human IgG+IgM+IgA - AF350[L35102]](https://img1.dxycdn.com/p/s14/2025/0922/498/0460884283108299691.jpg!wh200)
![FoxO3a (Phospho-Ser574) Antibody[12874]](https://img1.dxycdn.com/p/s14/2025/0923/496/0462304380155040791.jpg!wh200)


