相关产品推荐更多 >
万千商家帮你免费找货
0 人在求购买到急需产品
- 详细信息
- 技术资料
- 免疫原:
Raised against a 17 amino acid peptide near the carboxy terminus of human ZMYM1
- 形态:
liquid
- 保存条件:
Store at -20˚C
- 克隆性:
Polyclonal
- 适应物种:
Human;Mouse;Rat
- 保质期:
12 months
- 抗原来源:
Rabbit
- 供应商:
南京赛戈巍生物科技有限公司
- 宿主:
Rabbit
- 应用范围:
ELISA WB IHC
- 靶点:
Uniprot:NP_079048
- 抗体英文名:
ZMYM1 Antibody
- 规格:
50ul/100ul
别名:Zinc finger MYM-type protein 1, MYM
配方:Supplied in PBS containing 0.02% sodium azide.
图片:
配方:Supplied in PBS containing 0.02% sodium azide.
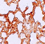
图片:

Western blot analysis of ZMYM1 in rat lung tissue lysate with ZMYM1 antibody at 1 ug/mL in (A) the absence and (B) the presence of blocking peptide.
,

Immunohistochemistry of ZMYM1 in rat lung tissue with ZMYM1 antibody at 5 ug/mL.
风险提示:丁香通仅作为第三方平台,为商家信息发布提供平台空间。用户咨询产品时请注意保护个人信息及财产安全,合理判断,谨慎选购商品,商家和用户对交易行为负责。对于医疗器械类产品,请先查证核实企业经营资质和医疗器械产品注册证情况。
技术资料暂无技术资料 索取技术资料
ZMYM1 Antibody
询价





![NRG1 Antibody[43946]](https://img1.dxycdn.com/p/s14/2025/0922/568/0046652811090600791.jpg!wh200)

![STUB1 Conjugated Antibody[C32199]](https://img1.dxycdn.com/p/s14/2025/0923/278/4431488150116040791.jpg!wh200)
![ALG13 Polyclonal Antibody[30311]](https://img1.dxycdn.com/p/s14/2025/0923/305/2150219664296040791.jpg!wh200)
