相关产品推荐更多 >
万千商家帮你免费找货
0 人在求购买到急需产品
- 详细信息
- 文献和实验
- 技术资料
- 免疫原:
Raised against a 15 amino acid peptide near the amino terminus of human ZIP12.
- 形态:
liquid
- 保存条件:
Store at -20˚C
- 克隆性:
Polyclonal
- 适应物种:
Human;Mouse
- 保质期:
12 months
- 抗原来源:
Rabbit
- 供应商:
南京赛戈巍生物科技有限公司
- 宿主:
Rabbit
- 应用范围:
ELISA WB IHC
- 靶点:
Uniprot:NP_001138667
- 抗体英文名:
ZIP12 Antibody
- 规格:
50ul/100ul
配方:Supplied in PBS containing 0.02% sodium azide.
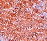
图片:

Western blot analysis of ZIP12 in HepG2 cell lysate with ZIP12 antibody at (A) 0.5 and (B) 1 ug/mL.
,

Immunohistochemistry of ZIP12 in mouse liver tissue with ZIP12 antibody at 2.5 ug/mL.
风险提示:丁香通仅作为第三方平台,为商家信息发布提供平台空间。用户咨询产品时请注意保护个人信息及财产安全,合理判断,谨慎选购商品,商家和用户对交易行为负责。对于医疗器械类产品,请先查证核实企业经营资质和医疗器械产品注册证情况。
文献和实验也可用辅酶型维生素B 12 、辅酶 B 12 等词来表示。是由 5- 脱氧腺苷基取代氰钴胺素( CN - B 12 )中与钴连接的 CN 基而生成的,所以亦称钴胺酰胺辅酶。其中大多数是核苷酸中的碱基为 5 , 6- 二甲(基)苯并咪唑的二甲(基)苯并咪唑钴酰胺辅酶( dimeth - ylbenzimidazole cobamide coenzyme )和钴胺素辅酶,但也有碱基为腺嘌呤或 5- 羟基苯并咪唑所置换的 B 12 辅酶。 B 12 辅酶是 H.Barker 等在研
丁香园myl0605的观点:前几天为自己养的PC12是未分化还是分化型困扰,查了一些资料,现发上来希望能给有同样问题的战友有一点帮助!培养条件:PC12细胞培养于铺有鼠尾胶原的玻璃培养瓶中,置于CO2培养箱(37℃,95%空气5%CO2),培养基选用DMEM(pH7.4,高糖),加入10%灭活小牛血清及5%灭活马血清。分化前:PC12细胞在培养基中多呈圆形,直径15~20μm,也有椭圆或多角形的,扁平的细胞少见,倾向于聚集成小团簇状(A图)。分化后:加入NGF后的24h内细胞停止分裂,长出似
人 apelin 1 2 (AP1 2 ) 酶联免疫 分析( ELISA ) 试剂 盒使用说明书 本试剂仅供研究使用 目的:本试剂盒用于测定人血清,血浆及相关液体样本中 apelin 12(AP12) 的 含量。 实验原理 : 本试剂盒应用双抗体夹心法测定 标本 中 人 apelin 1 2 (AP1 2 ) 水平。用纯化的 抗- apelin 1 2 (AP1 2 ) 抗体包被微孔板,制成固相抗体,往包被单抗的微孔中
技术资料暂无技术资料 索取技术资料





![Rhombotin-1 Polyclonal Antibody[42315]](https://img1.dxycdn.com/p/s14/2025/0922/568/0046652811090600791.jpg!wh200)
![SLC25A20 Conjugated Antibody[C37934]](https://img1.dxycdn.com/p/s14/2025/0923/278/4431488150116040791.jpg!wh200)


