相关产品推荐更多 >
万千商家帮你免费找货
0 人在求购买到急需产品
- 详细信息
- 技术资料
- 免疫原:
Raised against an 18 amino acid peptide near the amino terminus of human CEP164.
- 形态:
liquid
- 保存条件:
Store at -20˚C
- 克隆性:
Polyclonal
- 适应物种:
Human;Mouse;Rat
- 保质期:
12 months
- 抗原来源:
Rabbit
- 供应商:
南京赛戈巍生物科技有限公司
- 宿主:
Rabbit
- 应用范围:
ELISA WB IHC
- 靶点:
Uniprot:NP_055771
- 抗体英文名:
CEP164 Antibody
- 规格:
50ul/100ul
别名:Centrosomal protein 164
配方:Supplied in PBS containing 0.02% sodium azide.
图片:
配方:Supplied in PBS containing 0.02% sodium azide.
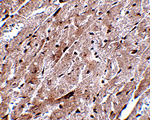
图片:

Western blot analysis of CEP164 in rat heart tissue lysate with CEP164 antibody at (A) 1 and (B) 2 ug/mL.
,

Immunohistochemistry of CEP164 in mouse heart tissue with CEP164 antibody at 5 ug/mL.
风险提示:丁香通仅作为第三方平台,为商家信息发布提供平台空间。用户咨询产品时请注意保护个人信息及财产安全,合理判断,谨慎选购商品,商家和用户对交易行为负责。对于医疗器械类产品,请先查证核实企业经营资质和医疗器械产品注册证情况。
技术资料暂无技术资料 索取技术资料
CEP164 Antibody
询价





![MLKL (Phospho-Ser358) Rabbit mAb[14251]](https://img1.dxycdn.com/p/s14/2025/0922/632/2321321568067599691.jpg!wh200)
![BCKDK Rabbit mAb[52720]](https://img1.dxycdn.com/p/s14/2025/0922/498/0460884283108299691.jpg!wh200)
![EMR2 Polyclonal Antibody[41989]](https://img1.dxycdn.com/p/s14/2025/0922/568/0046652811090600791.jpg!wh200)
![SCRN2 antibody[38215]](https://img1.dxycdn.com/p/s14/2025/0922/359/6146153295428599691.jpg!wh200)
