相关产品推荐更多 >
万千商家帮你免费找货
0 人在求购买到急需产品
- 详细信息
- 技术资料
- 免疫原:
Raised against a 16 amino acid peptide near the carboxy terminus of human LRFN5.
- 形态:
liquid
- 保存条件:
Store at -20˚C
- 克隆性:
Polyclonal
- 适应物种:
Human;Mouse;Rat
- 保质期:
12 months
- 抗原来源:
Rabbit
- 供应商:
南京赛戈巍生物科技有限公司
- 宿主:
Rabbit
- 应用范围:
ELISA WB IHC
- 靶点:
Uniprot:Q96NI6
- 抗体英文名:
LRFN5 Antibody
- 规格:
50ul/100ul
别名:Leucine-rich repeat and fibronectin typeIII domain-containing protein 5, synaptic adhesion-like molecule 5, SALM5, FIGLER8
配方:Supplied in PBS containing 0.02% sodium azide.
图片:
配方:Supplied in PBS containing 0.02% sodium azide.
图片:

Western blot analysis of LRFN5 in EL4 cell lysate with LRFN5 antibody at (A) 0.5 and (B) 1 ug/mL.
,

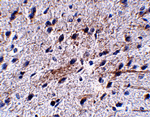
Immunohistochemistry of LRFN5 in mouse brain tissue with LRFN5 antibody at 5 ug/mL.
风险提示:丁香通仅作为第三方平台,为商家信息发布提供平台空间。用户咨询产品时请注意保护个人信息及财产安全,合理判断,谨慎选购商品,商家和用户对交易行为负责。对于医疗器械类产品,请先查证核实企业经营资质和医疗器械产品注册证情况。
技术资料暂无技术资料 索取技术资料
LRFN5 Antibody
询价





![EFHD2 Antibody[35454]](https://img1.dxycdn.com/p/s14/2025/0922/359/6146153295428599691.jpg!wh200)

![Hepatitis B Virus X antigen Conjugated Antibody[C48299]](https://img1.dxycdn.com/p/s14/2025/0923/305/2150219664296040791.jpg!wh200)
![E2F-1 (Acetyl-K125) Polyclonal Antibody[HW185]](https://img1.dxycdn.com/p/s14/2025/0922/568/0046652811090600791.jpg!wh200)
![WNT2 Polyclonal Antibody Biotin Conjugated[C92433Bio]](https://img1.dxycdn.com/p/s14/2025/0922/498/0460884283108299691.jpg!wh200)
