相关产品推荐更多 >
万千商家帮你免费找货
0 人在求购买到急需产品
- 详细信息
- 技术资料
- 免疫原:
Raised against a 24 amino acid peptide near the center of human IEX1.
- 形态:
liquid
- 保存条件:
Store at -20˚C
- 克隆性:
Polyclonal
- 适应物种:
Human;Mouse
- 保质期:
12 months
- 抗原来源:
Rabbit
- 供应商:
南京赛戈巍生物科技有限公司
- 宿主:
Rabbit
- 应用范围:
ELISA WB IHC
- 靶点:
Uniprot:P46695
- 抗体英文名:
IEX-1 Antibody
- 规格:
50ul/100ul
别名:Immediate early response 3, IER3, DIF2, PRG1, GLY96
配方:Supplied in PBS containing 0.02% sodium azide.
图片:
配方:Supplied in PBS containing 0.02% sodium azide.
图片:

Western blot analysis of IEX1 in human brain tissue lysate with IEX1 antibody at (A) 2 and (B) 4 ug/mL.
,

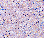
Immunohistochemistry of IEX-1 in human liver tissue with IEX-1 antibody at 2.5 ug/mL.
,

Western blot analysis of IEX-1 in mouse skin tissue lysate with IEX-1 antibody at (A) 1 and (B) 2 μg/mL..
风险提示:丁香通仅作为第三方平台,为商家信息发布提供平台空间。用户咨询产品时请注意保护个人信息及财产安全,合理判断,谨慎选购商品,商家和用户对交易行为负责。对于医疗器械类产品,请先查证核实企业经营资质和医疗器械产品注册证情况。
技术资料暂无技术资料 索取技术资料
IEX-1 Antibody
询价





![VPS53 Conjugated Antibody[C43347]](https://img1.dxycdn.com/p/s14/2025/0923/278/4431488150116040791.jpg!wh200)
![Prostatic Acid Phosphatase Rabbit mAb[56384]](https://img1.dxycdn.com/p/s14/2025/0922/632/2321321568067599691.jpg!wh200)
![CORO2A Antibody[46972]](https://img1.dxycdn.com/p/s14/2025/0923/496/0462304380155040791.jpg!wh200)

![beta-Actin (Loading Control) Polyclonal Antibody AP Conjugated[C90031AP]](https://img1.dxycdn.com/p/s14/2025/0922/498/0460884283108299691.jpg!wh200)
