相关产品推荐更多 >
万千商家帮你免费找货
0 人在求购买到急需产品
- 详细信息
- 文献和实验
- 技术资料
- 免疫原:
Synthetic peptide contain a sequence corresponding to a region within amino acids 148 and 210 of Human RAB2A
- 形态:
liquid
- 保存条件:
Store at -20˚C
- 克隆性:
Polyclonal
- 适应物种:
Human
- 保质期:
12 months
- 抗原来源:
Rabbit
- 供应商:
南京赛戈巍生物科技有限公司
- 宿主:
Rabbit
- 应用范围:
WB IHC
- 抗体英文名:
Rab 2 antibody
- 规格:
50ul/100ul
应用详情:Predicted MW: 24kd
Western blotting: 1:500-1:3000
Immunohistochemistry: 1:100-1:250
图片:

Sample(30 ug of whole cell lysate)
A: HeLa S3
12% SDS PAGE
Primary antibody diluted at 1: 500
,

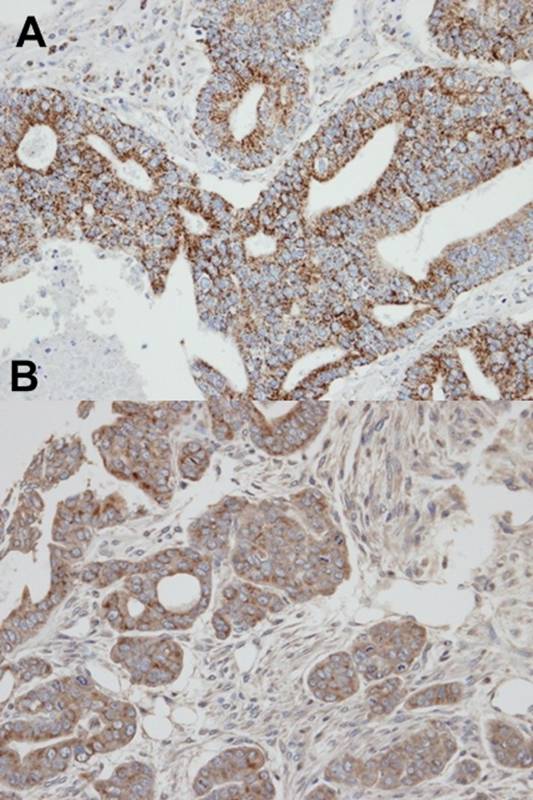
A:Immunohistochemical analysis of paraffin-embedded endo mitral OCVA, using RAB2A antibody at 1: 100 dilution. B:Immunohistochemical analysis of paraffin-embedded N87 xenograft, using RAB2A antibody at 1: 100 dilution.
风险提示:丁香通仅作为第三方平台,为商家信息发布提供平台空间。用户咨询产品时请注意保护个人信息及财产安全,合理判断,谨慎选购商品,商家和用户对交易行为负责。对于医疗器械类产品,请先查证核实企业经营资质和医疗器械产品注册证情况。
文献和实验secondary antibody review -- data from 99 publications
cytometry used as a control to detect cell responses targeted antigen 7 Alexa Fluor 488 7 Cy3 8 goat IgG Alexa Fluor 488 1:2000 detect antibody binding in human embryonic kidney 293T cells Invitrogen 9 donkey
Using Phospho‐Motif Antibodies to Determine Kinase Substrates
comprising both the phosphorylated residue and the surrounding residues that determine kinase specificity, with degenerate residues taking up the remaining positions. Currently, several categories of phospho?motif antibody are commercially available
Exploring Zebrafish Genomic, Functional and Phenotypic Data Using ZFIN
, gene expression, mutants, morphants, transgenics, anatomical structures, and antibodies. ZFIN's GBrowse genome viewer, BLAST, and protocol and antibody wikis are also discussed. Curr. Protoc. Bioinform. 31:1.18.1?1.18.44. © 2010 by John Wiley & Sons
技术资料暂无技术资料 索取技术资料





![RABL2B Conjugated Antibody[C42892]](https://img1.dxycdn.com/p/s14/2025/0923/278/4431488150116040791.jpg!wh200)

![XBP1 Rabbit Polyclonal Antibody[29285]](https://img1.dxycdn.com/p/s14/2025/0922/498/0460884283108299691.jpg!wh200)

