相关产品推荐更多 >
万千商家帮你免费找货
0 人在求购买到急需产品
- 详细信息
- 文献和实验
- 技术资料
- 免疫原:
Peptide sequence around aa.31~35 (A-A-S-V-Y) derived from Human Keratin 18 (CK18).
- 形态:
liquid
- 保存条件:
Store at -20˚C
- 克隆性:
Polyclonal
- 适应物种:
Human
- 保质期:
12 months
- 抗原来源:
Rabbit
- 供应商:
南京赛戈巍生物科技有限公司
- 宿主:
Rabbit
- 应用范围:
WB IHC
- 靶点:
Uniprot:P05783
- 抗体英文名:
Keratin 18 Antibody
- 规格:
50ul/100ul
配方:Supplied at 1.0mg/mL in phosphate buffered saline (without Mg2+ and Ca2+), pH 7.4, 150mM NaCl, 0.02% sodium azide and 50% glycerol.
应用详情:Predicted MW: 46kd
Western blotting: 1:500~1:1000
Immunohistochemistry: 1:50~1:100
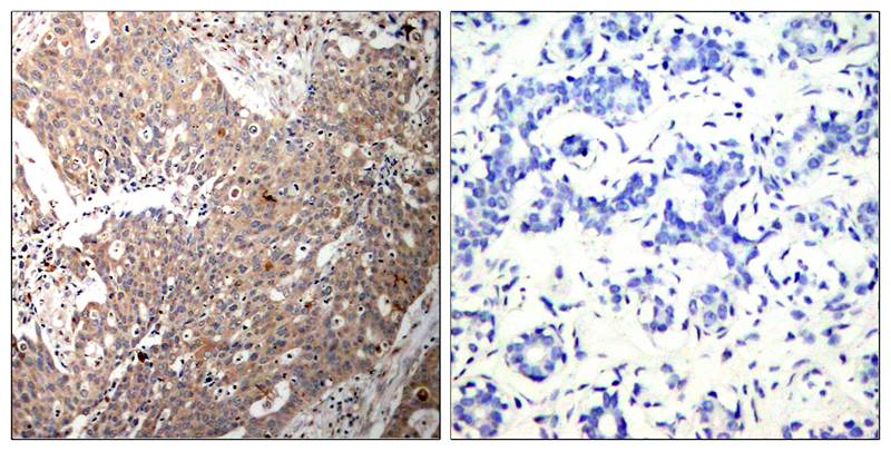
图片:

Western blot analysis of extracts from 293 cells using Keratin 18(Ab-33) Antibody #21306.
,

Immunohistochemical analysis of paraffin-embedded human breast carcinoma tissue using Keratin 18(Ab-33) Antibody #21306(left) or the same antibody preincubated with blocking peptide(right).
风险提示:丁香通仅作为第三方平台,为商家信息发布提供平台空间。用户咨询产品时请注意保护个人信息及财产安全,合理判断,谨慎选购商品,商家和用户对交易行为负责。对于医疗器械类产品,请先查证核实企业经营资质和医疗器械产品注册证情况。
文献和实验. These genes are expressed in a spatiotemporal and tissue-specific manner from the blastocyst stage onward. Since the discovery of keratin mutations leading to epidermolysis bullosa simplex, mutations in at least 18 keratin genes
上海西唐生物科技有限公司 021-55229872, 65333639 www.westang.com 大鼠白介素 -18(IL-18)ELISA 试剂盒 ( 用于血清、血浆、细胞培养上清液和其它生物体液内 ) 原理 本实验采用双抗体夹心 ABC-ELISA 法。用抗大鼠 IL-18 单抗包被于酶标板上,标准品和样品中的 IL-18 与单抗结合,加入生物素化的抗大鼠 IL-18 ,形成免疫复合物连接
上海西唐生物科技有限公司 021-55229872, 65333639 www.westang.com 兔白介素-18 (IL-18)ELISA 试剂盒 ( 用于血清、血浆、细胞培养上清液和其它生物体液内 ) 原理 本实验采用双抗体夹心 ABC-ELISA 法。用抗兔 IL-18 单抗包被于酶标板上,标准品和样品中的 IL-18与单抗结合,加入生物素化的抗兔 IL
技术资料暂无技术资料 索取技术资料





![alpha 2 Catenin Antibody[39412]](https://img1.dxycdn.com/p/s14/2025/0922/359/6146153295428599691.jpg!wh200)
![SRPR Polyclonal Antibody[30682]](https://img1.dxycdn.com/p/s14/2025/0923/305/2150219664296040791.jpg!wh200)
![GluR2+GluR3 Conjugated Antibody[C56419]](https://img1.dxycdn.com/p/s14/2025/0922/632/2321321568067599691.jpg!wh200)

![NCOA4 Conjugated Antibody[C32981]](https://img1.dxycdn.com/p/s14/2025/0923/278/4431488150116040791.jpg!wh200)
