相关产品推荐更多 >
万千商家帮你免费找货
0 人在求购买到急需产品
- 详细信息
- 文献和实验
- 技术资料
- 免疫原:
Peptide sequence around aa.187~191 (V-D-S-V-A) derived from Human MKK3.
- 形态:
liquid
- 保存条件:
Store at -20˚C
- 克隆性:
Polyclonal
- 适应物种:
Human;Mouse
- 保质期:
12 months
- 抗原来源:
Rabbit
- 供应商:
南京赛戈巍生物科技有限公司
- 宿主:
Rabbit
- 应用范围:
WB IHC IF
- 靶点:
Uniprot:P46734
- 抗体英文名:
MKK3 Antibody
- 规格:
50ul/100ul
配方:Supplied at 1.0mg/mL in phosphate buffered saline (without Mg2+ and Ca2+), pH 7.4, 150mM NaCl, 0.02% sodium azide and 50% glycerol.
应用详情:
Predicted MW: 40kd
Western blotting: 1:500~1:1000
Immunohistochemistry: 1:50~1:100
Immunofluorescence: 1:100~1:200
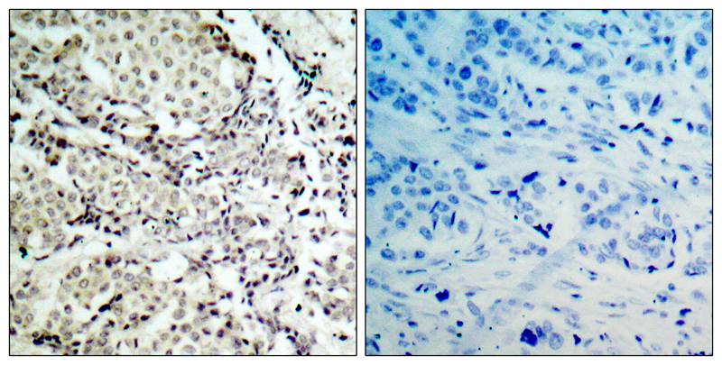
图片:

Western blot analysis of extracts from MDA cells using MKK3(Ab-189) Antibody #21116.
,

Immunohistochemical analysis of paraffin-embedded human breast carcinoma tissue using MKK3(Ab-189) Antibody #21116(left) or the same antibody preincubated with blocking peptide(right).
,

Immunofluorescence staining of methanol-fixed Hela cells using MKK3(Ab-189) Antibody #21116.
风险提示:丁香通仅作为第三方平台,为商家信息发布提供平台空间。用户咨询产品时请注意保护个人信息及财产安全,合理判断,谨慎选购商品,商家和用户对交易行为负责。对于医疗器械类产品,请先查证核实企业经营资质和医疗器械产品注册证情况。
文献和实验Generation of Antibody Molecules Through Antibody Engineering
been overcome to a large extent using genetic-engineering techniques to produce chimeric mouse/human and completely human antibodies. Such an approach is particularly suitable because of the domain structure of the antibody molecule ( 2 ), where functional
The importance of antibody molecules was first recognized in the 1890s, when it was shown that immunity to tetanus and diphtheria was caused by antibodies against the bacterial exotoxins (1 ). Around the same time, it was shown that antisera
General comments: Antibodies, like most proteins, do not like to be freeze-thawed. Avoid repetitive freezing of your solution. The best way to store your antibody is to keep a high protein concentration (>1 mg/ml), add some protease
技术资料暂无技术资料 索取技术资料





![ADORA2A Mouse mAb[63027]](https://img1.dxycdn.com/p/s14/2025/0922/632/2321321568067599691.jpg!wh200)
![Complement C5a anaphylatoxin Polyclonal Antibody[42092]](https://img1.dxycdn.com/p/s14/2025/0922/568/0046652811090600791.jpg!wh200)
![Rabbit Anti-Human IgG Fc - AF350[L35118]](https://img1.dxycdn.com/p/s14/2025/0922/498/0460884283108299691.jpg!wh200)
![PDE1C Polyclonal Antibody[28818]](https://img1.dxycdn.com/p/s14/2025/0923/305/2150219664296040791.jpg!wh200)


