相关产品推荐更多 >
万千商家帮你免费找货
0 人在求购买到急需产品
- 详细信息
- 技术资料
- 免疫原:
Peptide sequence around aa. 1090~1094 (P-E-Y-I-N) derived from Human EGFR.
- 形态:
liquid
- 保存条件:
Store at -20˚C
- 克隆性:
Polyclonal
- 适应物种:
Human;Rat
- 保质期:
12 months
- 抗原来源:
Rabbit
- 供应商:
南京赛戈巍生物科技有限公司
- 宿主:
Rabbit
- 应用范围:
WB IHC
- 靶点:
Uniprot:P00533
- 抗体英文名:
EGFR Antibody
- 规格:
50ul/100ul
别名:Receptor tyrosine-protein kinase ErbB-1
配方:Supplied at 1.0mg/mL in phosphate buffered saline (without Mg2+ and Ca2+), pH 7.4, 150mM NaCl, 0.02% sodium azide and 50% glycerol.
应用详情:Predicted MW: 175kd
Western blotting: 1:500~1:1000
Immunohistochemistry: 1:50~1:100
图片:
配方:Supplied at 1.0mg/mL in phosphate buffered saline (without Mg2+ and Ca2+), pH 7.4, 150mM NaCl, 0.02% sodium azide and 50% glycerol.
应用详情:Predicted MW: 175kd
Western blotting: 1:500~1:1000
Immunohistochemistry: 1:50~1:100
图片:

Western blot analysis of extracts from HepG2, 293 and Hela cells using EGFR(Ab-1092) Antibody #21074.
,

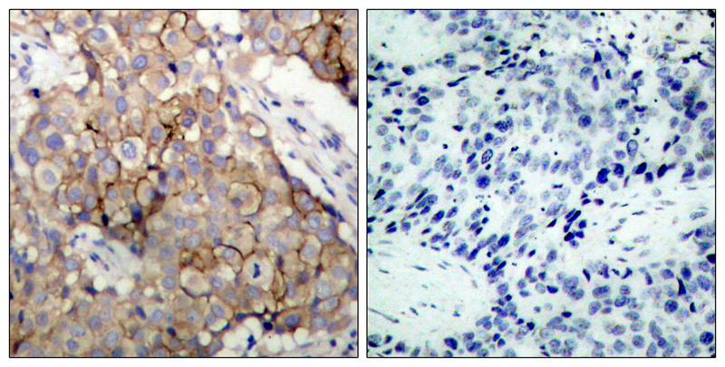
Immunohistochemical analysis of paraffin-embedded human breast carcinoma tissue using EGFR(Ab-1092) Antibody #21074(left) or the same antibody preincubated with blocking peptide(right).
风险提示:丁香通仅作为第三方平台,为商家信息发布提供平台空间。用户咨询产品时请注意保护个人信息及财产安全,合理判断,谨慎选购商品,商家和用户对交易行为负责。对于医疗器械类产品,请先查证核实企业经营资质和医疗器械产品注册证情况。
技术资料暂无技术资料 索取技术资料
EGFR Antibody
询价





![EIF5 Mouse mAb[63585]](https://img1.dxycdn.com/p/s14/2025/0922/632/2321321568067599691.jpg!wh200)
![BPIFB1 Antibody[46934]](https://img1.dxycdn.com/p/s14/2025/0923/496/0462304380155040791.jpg!wh200)
![PRKDC Rabbit Polyclonal Antibody[55294]](https://img1.dxycdn.com/p/s14/2025/0922/498/0460884283108299691.jpg!wh200)
![TWEAK Polyclonal Antibody[41518]](https://img1.dxycdn.com/p/s14/2025/0922/568/0046652811090600791.jpg!wh200)
