相关产品推荐更多 >
万千商家帮你免费找货
0 人在求购买到急需产品
- 详细信息
- 技术资料
- 免疫原:
Peptide sequence around phosphorylation site of tyrosine 279/216 (V-S-Y(p)-I-C) derived from Human GSK3α/β.
- 形态:
liquid
- 保存条件:
Store at -20˚C
- 克隆性:
Polyclonal
- 适应物种:
Human;Mouse;Rat
- 保质期:
12 months
- 抗原来源:
Rabbit
- 供应商:
南京赛戈巍生物科技有限公司
- 宿主:
Rabbit
- 应用范围:
IF,WB,IHC,ELISA
- 靶点:
Uniprot:P49840
- 抗体英文名:
GSK3α/β(Phospho-Tyr279/216) Antibody
- 规格:
50ul/100ul
配方:Supplied at 1.0mg/mL in phosphate buffered saline (without Mg2+ and Ca2+), pH 7.4, 150mM NaCl, 0.02% sodium azide and 50% glycerol.
应用详情:
Predicted MW: 46, 51kd
Western blotting: 1:500~1:1000
Immunohistochemistry: 1:50~1:100
Immunofluorescence: 1:100~1:200
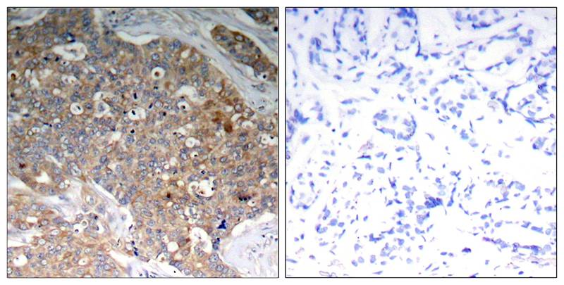
图片:

Immunohistochemical analysis of paraffin-embedded human breast carcinoma tissue using GSK3α/β(Phospho-Tyr279/216) Antibody #11301 (left) or the same antibody preincubated with blocking peptide #51301 (right).
,

Immunofluorescence staining of methanol-fixed Hela cells using GSK3α/β(Phospho-Tyr279/216) Antibody #11301.
,

Western blot analysis of extracts from 293 cells untreated or treated with PMA using GSK3α/β(Phospho-Tyr279/216) Antibody #11301.
,

Immunofluorescence staining of methanol-fixed MEF cells using GSK3α/β(Phospho-Tyr279/216) Antibody #11301.
风险提示:丁香通仅作为第三方平台,为商家信息发布提供平台空间。用户咨询产品时请注意保护个人信息及财产安全,合理判断,谨慎选购商品,商家和用户对交易行为负责。对于医疗器械类产品,请先查证核实企业经营资质和医疗器械产品注册证情况。
技术资料暂无技术资料 索取技术资料





![Thyroglobulin Conjugated Antibody[C56382]](https://img1.dxycdn.com/p/s14/2025/0922/632/2321321568067599691.jpg!wh200)
![MT-ND5 Antibody[43708]](https://img1.dxycdn.com/p/s14/2025/0922/568/0046652811090600791.jpg!wh200)
![PDPK1 Conjugated Antibody[C32375]](https://img1.dxycdn.com/p/s14/2025/0923/278/4431488150116040791.jpg!wh200)
