相关产品推荐更多 >
万千商家帮你免费找货
0 人在求购买到急需产品
- 详细信息
- 文献和实验
- 技术资料
- 形态:
液体
- 保存条件:
-20℃
- 克隆性:
多克隆
- 抗体英文名:
MeCP2 Rabbit Polyclonal Antibody
- 规格:
支
Methyl-CpG-binding protein 2(MeCP2), whose exact function is unclear. It appears to help regulate gene activity (expression) by modifying chromatin, the complex of DNA and protein that packages DNA into chromosomes. The MeCP2 protein usually regulates genes involved in brain function, even though this protein is found throughout the body.Within the brain, the MeCP2 protein is important for the function of nerve cells (neurons) and is present in high levels in mature neurons. This protein likely plays a role in maintaining connections (synapses) between neurons, where cell-to-cell communication occurs. Many of the genes that are known to be regulated by the MeCP2 protein play a role in normal brain function, particularly the maintenance of synapses.
Product Name:MeCP2 Rabbit Polyclonal Antibody
Isotype: IgG1
Storage Buffer :PBS, pH 7.4, containing 0.02% sodium azide as Preservative and 50% Glycerol
Storage instructions:-20°C. Do not aliquot the antibody
Recommended dilutions: WB: 1:2,000
Optimal dilutions should be determined by the end user.
Specificity: MeCP2 antibody detects endogenous MeCP2 proteins.
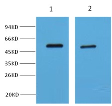
Molecular Weight:53KD
Form: Liquid
Reactivity:H

Western blot analysis of Hela with MeCP2 Rabbit pAb diluted at
1, 1:2,000
2, 1:5,000
风险提示:丁香通仅作为第三方平台,为商家信息发布提供平台空间。用户咨询产品时请注意保护个人信息及财产安全,合理判断,谨慎选购商品,商家和用户对交易行为负责。对于医疗器械类产品,请先查证核实企业经营资质和医疗器械产品注册证情况。
文献和实验Polyclonal Antibody Production
Zealand White Rabbits and have them delivered to the ARC. Don’t put all your eggs in one basket only using one rabbit. Let them get accustomed to there home there for two weeks before the first pre-bleed. Pre-bleed
Polyclonal Antibody Production
Polyclonal Antibody Production Very useful for rapid and simple generation of antibodies for western blots, ELISA assays, and immunoprecipitation. Rabbit Immunization Initial Preparation Your antigen
Generation and Selection of Rabbit Antibody Libraries by Phage Display
The rabbit antibody repertoire is an exceptional source for both polyclonal antibodies (pAbs) and monoclonal antibodies (mAbs) that combine high specificity with high avidity and affinity, respectively. In contrast to rabbit pAbs
技术资料暂无技术资料 索取技术资料






