相关产品推荐更多 >
万千商家帮你免费找货
0 人在求购买到急需产品
- 详细信息
- 技术资料
- 应用范围:
产品信息以Bioss网站为准
- 规格:
50ul/100ul/200ul
| 规格: | 50ul | 产品价格: | ¥1180.0 |
|---|---|---|---|
| 规格: | 100ul | 产品价格: | ¥1980.0 |
| 规格: | 200ul | 产品价格: | ¥2800.0 |
| 产品编号 | bs-10937R |
| 英文名称 | RNF111 Rabbit pAb |
| 中文名称 | 环指蛋白111抗体 |
| 英文别名 | ARK; Arkadia; DKFZp313E0731; DKFZp686H1966; DKFZp761D081; E3 ubiquitin protein ligase Arkadia; FLJ38008; Ring finger protein 111; RNF 111; RN111_HUMAN. |
| 产品应用 | IHC-P=1:100-500, IHC-F=1:100-500, IF=1:100-500 Not yet tested in other applications. |
| 交叉反应 | Mouse, Rat (Human, Dog, Cow, Rabbit, Sheep) |
| 抗体来源 | Rabbit |
| 免疫原 | KLH conjugated synthetic peptide derived from human RNF111 |
| 亚型 | IgG |
| 性状 | Liquid |
| 纯化方法 | affinity purified by Protein A |
| 克隆类型 | Polyclonal |
| 理论分子量 | 109 kDa |
| 浓度 | 1mg/ml |
| 储存液 | 0.01M TBS (pH7.4) with 1% BSA, 0.02% Proclin300 and 50% Glycerol. |
| 亚基 | Interacts with SMAD6, SMAD7, AXIN1, AXIN2 and SKIL isoform SNON. Part of a complex containing RNF111, AXIN1 and SMAD7. Interacts (via SIM domains) with SUMO1 and SUMO2. |
| 亚细胞定位 | Cytoplasmic and Nuclear |
| 组织特异性 | Broadly expressed. |
| 相似性 | Contains 1 RING-type zinc finger. |
| 功能 | Acts in the NODAL pathway of mesoderm patterning during embryonic development. Acts downstream AXIN1 as an E3 ubiquitin-protein ligase which promotes the ubiquitination of inhibitory SMADs such as SMAD7, induces their proteasomal degradation and thereby enhances the transcriptional activity of TGF-beta and BMP. Activates Smad3/Smad4-dependent transcription by triggering signal-induced SnoN degradation. |
| 保存条件 | Shipped at 4℃. Store at -20℃ for one year. Avoid repeated freeze/thaw cycles. |
| 注意事项 | This product as supplied is intended for research use only, not for use in human, therapeutic or diagnostic applications. |
| 背景资料 | The protein encoded by this gene is a nuclear RING-domain containing E3 ubiquitin ligase. This protein interacts with the transforming growth factor (TGF) -beta/NODAL signaling pathway by promoting the ubiquitination and proteosomal degradation of negative regulators, like SMAD proteins, and thereby enhances TGF-beta target-gene transcription. As a modulator of the nodal signaling cascade, this gene plays a critical role in the induction of mesoderm during embryonic development. Alternative splicing of this gene results in multiple transcript variants encoding distinct isoforms. [provided by RefSeq, Jul 2012] |
| 应用 | 推荐稀释比例 |
| {IHC-P} | {1:100-500} |
| {IHC-F} | {1:100-500} |
| {IF} | {1:100-500} |

Paraformaldehyde-fixed, paraffin embedded (rat testis); Antigen retrieval by boiling in sodium citrate buffer (pH6.0) for 15min; Block endogenous peroxidase by 3% hydrogen peroxide for 20 minutes; Blocking buffer (normal goat serum) at 37°C for 30min; Antibody incubation with (RNF111) Polyclonal Antibody, Unconjugated (bs-10937R) at 1:200 overnight at 4°C, followed by operating according to SP Kit(Rabbit) (sp-0023) instructionsand DAB staining.

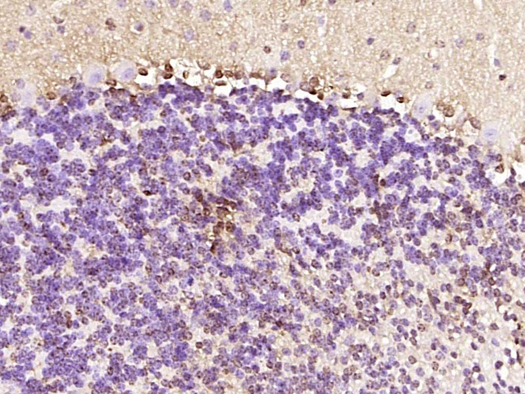
Paraformaldehyde-fixed, paraffin embedded (mouse cerebellum); Antigen retrieval by boiling in sodium citrate buffer (pH6.0) for 15min; Block endogenous peroxidase by 3% hydrogen peroxide for 20 minutes; Blocking buffer (normal goat serum) at 37°C for 30min; Antibody incubation with (RNF111) Polyclonal Antibody, Unconjugated (bs-10937R) at 1:200 overnight at 4°C, followed by operating according to SP Kit(Rabbit) (sp-0023) instructionsand DAB staining.

Paraformaldehyde-fixed, paraffin embedded (rat colon); Antigen retrieval by boiling in sodium citrate buffer (pH6.0) for 15min; Block endogenous peroxidase by 3% hydrogen peroxide for 20 minutes; Blocking buffer (normal goat serum) at 37°C for 30min; Antibody incubation with (RNF111) Polyclonal Antibody, Unconjugated (bs-10937R) at 1:200 overnight at 4°C, followed by operating according to SP Kit(Rabbit) (sp-0023) instructionsand DAB staining.
风险提示:丁香通仅作为第三方平台,为商家信息发布提供平台空间。用户咨询产品时请注意保护个人信息及财产安全,合理判断,谨慎选购商品,商家和用户对交易行为负责。对于医疗器械类产品,请先查证核实企业经营资质和医疗器械产品注册证情况。
技术资料暂无技术资料 索取技术资料
RNF111 Rabbit pAb(bs-10937R)-50ul/100ul/200ul
¥1180 - 2800







