相关产品推荐更多 >
万千商家帮你免费找货
0 人在求购买到急需产品
- 详细信息
- 技术资料
- 英文名:
253J/GFP
- 库存:
10
- 供应商:
上海雅吉
- 细胞类型:
ATCC
- 品系:
细胞系
- 组织来源:
ATCC
- 物种来源:
详见説明
- 细胞形态:
上皮
- 运输方式:
顺丰速运
- 年限:
理论无限传代
- 生长状态:
贴壁,悬浮
- 规格:
T25瓶
细胞荧光标记是利用 荧光蛋白 或 荧光素酶 报告基因作为标志物对研究细胞进行标记的分析方法,常用的荧光蛋白为绿色荧光蛋白 (GFP)和红色荧光蛋白 (RFP)两种。 这些标志物通过转基因技术构建到载体上,可跟踪和判断生物细胞的分子变化。 绿/红色荧光蛋白标记 绿色荧光蛋白 (GFP)标记试剂盒将绿色荧光蛋白的基因插入 慢病毒 介导的载体中,通过flag-Ub启动子过表达从而作为报告基因,在细胞中表达。
上海雅吉生物作为专注于细胞相关技术的高科技生命科学和生物技术领域企业,我们拥有完善的细胞资源库和先进的检测技术, 我们的细胞资源库种类齐全,广受国内众多重点实验室和科研人员的信赖与好评。生化标记分析则是通过检测细胞表达的特定蛋白或酶,来评估细胞的特性和纯度。 我们拥有完善的细胞鉴定体系,专业的技术团队和先进的检测设备,能为您提供准确可靠的细胞系纯度鉴别服务。选择雅吉生物,就是选择专业与信赖。我们将竭诚为您服务,助力您的科研成果更上一层楼!
以下细胞培养冻存处理仅供参考,具体操作步骤以随货产品说明为主。
细胞复苏后应立即置于适当的培养基中,培养基需经过严格的无菌处理和配方优化,确保细胞的健康生长。
培养条件:
培养条件:温度:37℃
传代方法 第一次建议1:2传代 传代情况 2天换液
备注:建议同时购买完培,同时购买非常优惠
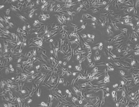
人膀胱癌细胞253J/GFP (带绿色荧光)ATCC细胞收到后处理
培养至良好状态后灌满完全培养液并封好瓶口是运输细胞的最好办法。收到细胞用75%酒精喷洒整个细胞瓶,消毒后放到超净台内严格无菌操作,将细胞瓶放入37℃、5%CO2的培养箱中静置3-4小时以稳定细胞状态后再做处理。显微镜观察细胞生长情况,并对细胞进行不同倍数拍照保存(最好40x,100x,200x各一张),前三天照片是重要售后依据,不提供照片默认收到状态良好。

细胞培养步骤
人膀胱癌细胞253J/GFP (带绿色荧光)ATCC悬浮细胞传代步骤日下:
1、半换液法
半换液处理,竖着培养瓶在培养箱静置1小时左右,轻轻吸掉3ml左右培养基,然后补给3ml的完全培养基,如果培养基变色慢,可直接加500ul左右FBS,传代的时候可以直接补给5ml培养基 分两个培养瓶培养,一般这样传代3次左右可以离心传代一次,去掉死细胞。
2、离心换液法
如需分瓶可以将细胞悬液收集到离心管中1000rpm,离心5min,弃去上清,补加1-2mL培养液后重悬混匀后将细胞悬液按1:2的比例分到新T25瓶中,添加6-8ml按照说明要求配置的新的完全培养基以保持细胞的生长活力,后续传代根据实际情况按1:2~1:5的比例进行。
b、细胞冻存:
1、细胞生长至覆盖培养瓶的80%面积时,弃T25培养瓶中的培养液,用PBS清洗细胞一次;
2、添加0.25%胰蛋白酶消化液约1ml至培养瓶中,倒置显微镜下观察,待细胞回缩变圆后加入5ml完全培养液终止消化,再轻轻吹打细胞使之脱落,然后将悬液转移至15ml离心管中,1000rpm离心 5min;
3、 弃上清,沉淀细胞加入1ml的雅吉生物无血清冻存液(货号:C7001),混匀后加入冻存管中。
4、 将冻存细胞直接放入-80℃冰箱即可,如后期要将细胞转入液氮罐中,则需在-80℃冰箱 中存放24小时以上再转入液氮罐中。
C、细胞复苏:
1、从液氮中取出细胞冻存管(注意佩戴防护面具),快速将其置入 37℃水浴中解冻, 直至冻存管中无结晶,然后用75%的酒精擦拭冻存管外壁;
2、将冻存管中的细胞移至含 5ml 完全培养基的15ml离心管中,1000rpm离心5min;
3、弃上清,沉淀用5ml完全培养基重悬,接种至T25培养瓶,放于37℃,5%CO2细胞培养箱中培养;
4、第二天,换用新鲜完全培养基继续培养。
a、细胞传代:如果未超过80%汇合度时,将瓶装的完全培养液收集至离心管中,留5ml完全培养基,放入37℃、5%CO2孵箱培养;如果细胞密度超80%,即可进行传代培养。
人膀胱癌细胞253J/GFP (带绿色荧光)ATCC贴壁细胞传代步骤如下:
1. 弃去培养上清,用不含钙、镁离子的PBS润洗细胞1-2次。
2. 添加0.25%胰蛋白酶消化液约1-2ml至培养瓶中,置于37℃培养箱中消化1-2min,然后在显微镜下观察细胞消化情况,若细胞大部分变圆并脱落,迅速拿回操作台,轻敲几下培养瓶后加5ml以上完全培养基终止消化。
3.轻轻吹打细胞,使之完全脱落后吸出,然后将悬液转移至15ml离心管中,在1000RPM条件下离心5分钟,弃去上清液,补加1-2mL完全培养基重悬。
4. 将细胞悬液按1:2的比例进行分瓶传代(两个T25瓶),补充新的完全培养基至5-8ml/瓶,最后放入到37℃、5%CO2的细胞培养箱中培养。
人膀胱癌细胞253J/GFP (带绿色荧光)ATCC贴壁细胞传代步骤如下:
1. 弃去培养上清,用不含钙、镁离子的PBS润洗细胞1-2次。
2. 添加0.25%胰蛋白酶消化液约1-2ml至培养瓶中,置于37℃培养箱中消化1-2min,然后在显微镜下观察细胞消化情况,若细胞大部分变圆并脱落,迅速拿回操作台,轻敲几下培养瓶后加5ml以上完全培养基终止消化。
3.轻轻吹打细胞,使之完全脱落后吸出,然后将悬液转移至15ml离心管中,在1000RPM条件下离心5分钟,弃去上清液,补加1-2mL完全培养基重悬。
4. 将细胞悬液按1:2的比例进行分瓶传代(两个T25瓶),补充新的完全培养基至5-8ml/瓶,最后放入到37℃、5%CO2的细胞培养箱中培养。
人膀胱癌细胞253J/GFP (带绿色荧光)ATCC培养注意事项
1. 收到细胞后首先观察细胞瓶是否完好,培养液是否有漏液、浑浊等现象,若有上述现 象发生请及 时和我们联系。
2. 仔细阅读细胞说明,了解细胞相关信息,如细胞形态、所用培养基、血清比例、所 需细胞因子 等,确保细胞培养条件一致。若由于培养条件不一致而导致细胞出现问 题,责任由客户自行承担。
3. 用 75%酒精擦拭细胞瓶表面,显微镜下观察细胞状态。因运输问题贴壁细胞会有少量 从瓶 壁脱落,将细胞置于培养箱内静置培养 4~6 小时,再取出观察。此时多数细胞均 会贴壁,若细胞仍不能贴壁请用台盼蓝 染色测定细胞活力,如果证实细胞活力正常, 请将细胞离心后用新鲜培养基再次贴壁培养;如果染色结果显示细胞无活 力,请拍下 照片及时和我们联系,信息确认后我们为您再免费寄送一次。
4. 静置细胞贴壁后,请将细胞瓶内的培养基倒出,留 6~8mL 维持细胞正常培养,待细 胞汇 合度 80%左右时正常传代。
5. 请客户用相同条件的培养基用于细胞培养。培养瓶内多余的培养基可收集备用,细胞 传代时可以 一定比例和客户自备的培养基混合,使细胞逐渐适应培养条件。
6. 建议客户收到细胞后前 3 天各拍几张细胞照片,记录细胞状态,便于和 Procell 技术 部 沟通交流。由于运输的原因,个别敏感细胞会出现不稳定的情况,请及时和我们联 系,告知细胞的具体情况,以便我们 的技术人员跟踪回访直至问题解决。
7. 该细胞仅供科研使用。
风险提示:丁香通仅作为第三方平台,为商家信息发布提供平台空间。用户咨询产品时请注意保护个人信息及财产安全,合理判断,谨慎选购商品,商家和用户对交易行为负责。对于医疗器械类产品,请先查证核实企业经营资质和医疗器械产品注册证情况。
技术资料暂无技术资料 索取技术资料








