相关产品推荐更多 >
万千商家帮你免费找货
0 人在求购买到急需产品
- 详细信息
- 文献和实验
- 技术资料
- 供应商:
StressMarq
- 库存:
大量
- 靶点:
Tau 2N
- 抗体英文名:
Tau 2N Antibody
- 抗体名:
Tau 2N 抗体
- 宿主:
兔
- 应用范围:
WB
- 浓度:
1mg/ml
| Product Name | Tau 2N 抗体 |
| Description |
兔抗-人 Tau 多克隆 |
| Species Reactivity | 人 |
| Applications | WB |
| Antibody Dilution | ; 用户需根据具体情况决定最适合的稀释度. |
| Host Species | 兔 |
| Immunogen Species | 人 |
| Immunogen | Tau 2N3R/4R 肽 |
| Concentration | 1mg/ml |
| Conjugates | APC, ATTO 390, ATTO 488, ATTO 594, Biotin, FITC, HRP, PerCP, RPE, 无标记 |
Properties
| Storage Buffer | PBS pH 7.4, 50% 甘油, 0.09% die氮化钠 |
| Storage Temperature | -20ºC |
| Shipping Temperature | 蓝冰或4ºC |
| Purification | 亲和纯化的 |
| Product Type | 多克隆 |
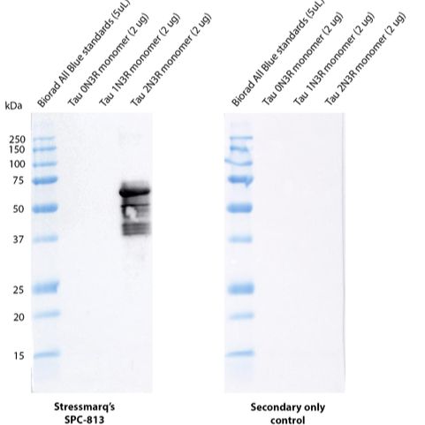
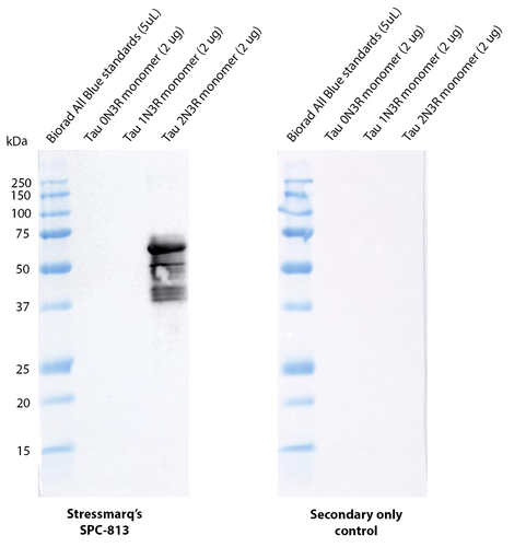
| Specificity | 检测 Tau 0N3R/4R 同种型 |
| Cite This Product | 兔 Anti-人 Tau 多克隆 (StressMarq Biosciences, Victoria BC, Cat# SPC-813) |
| Certificate of Analysis | 1:1000 稀释的 SPC-813 足够用来检测 Tau 0N3R/4R 同种型 (检测范围 2ug – 0.063ug). |
Biological Description
| Alternative Names | Tau, 2N4R Tau, 2N3R Tau, pTau, MAPT, Neurofibrillary tangle protein, Tau-Human |
| Research Areas | 神经退行性疾病, 神经生物学, 帕金森氏病, 肌萎缩侧索硬化 (ALS), 阿尔茨海默病 |
| Cellular Localization | 质膜 |
| Accession Number | NP_005901.2 |
| Gene ID | 4137 |
| Swiss Prot | P10636-5 |
| Scientific Background | Tau is a microtubule-associated protein (MAPT) with multiple isoforms due to alternative mRNA splicing (1,2). The 2N isoform contains two N-terminal inserts and is expressed in both 3R (2N3R) and 4R (2N4R) variants (2). The 3R/4R ratio varies across diseases; for example, Alzheimer’s disease features a mixed 3R/4R pathology (3). Our human Tau 2N3R/4R polyclonal antibody has been demonstrated to be specific to only human 2N isoforms and does not detect rodent isoforms. |
| References | 1.,Goedert, M., Spillantini, M. G., Jakes, R., Rutherford, D., & Crowther, R. A. (1989). Multiple isoforms of human microtubule-associated protein tau: sequences and localization in neurofibrillary tangles of Alzheimer's disease. Neuron, 3(4), 519–526. DOI: 10.1016/0896-6273(89)90210-9 2.,Spillantini, M. G., & Goedert, M. (2013). Tau pathology and neurodegeneration. The Lancet Neurology, 12(6), 609–622. DOI: 10.1016/S1474-4422(13)70090-5 3.,Kovacs, G. G. (2017). Tauopathies. Handbook of Clinical Neurology, 145, 355–368. DOI: 10.1016/B978-0-12-802395-2.00025-3 |
Product Images
风险提示:丁香通仅作为第三方平台,为商家信息发布提供平台空间。用户咨询产品时请注意保护个人信息及财产安全,合理判断,谨慎选购商品,商家和用户对交易行为负责。对于医疗器械类产品,请先查证核实企业经营资质和医疗器械产品注册证情况。
文献和实验人 TAU 蛋白( TAU ) 酶联免疫分析(ELISA ) 试剂盒使用说明书 本试剂仅供研究使用 目的:本试剂盒用于测定人血清,细胞上清及相关液体样本中 TAU 蛋白( TAU ) 的 含量。 实验原理: 本试剂盒应用双抗体夹心法测定标本中 人 TAU 蛋白( TAU ) 水平。用纯化的 人 TAU 蛋白( TAU ) 抗体包被微孔板,制成固相抗体,往包被单抗的微孔中依次加入 TAU 蛋白( TAU
上海西唐生物科技有限公司 021-55229872, 65333639 www.westang.com 人TAU 蛋白 (TAU)ELISA 试剂盒 ( 用于血清、血浆、细胞培养上清液和其它生物体液内 ) 原理 本实验采用双抗体夹心 ABC-ELISA 法。用抗人 TAU 单抗包被于酶标板上,标准品和样品中的 TAU与单抗结合,加入生物素化的抗人 TAU ,形成免疫复合
上海西唐生物科技有限公司 021-55229872, 65333639 www.westang.com 大鼠 Tau 蛋白 (Tau)ELISA 试剂盒 ( 用于血清、血浆、细胞培养上清液和其它生物体液内 ) 原理 本实验采用双抗体夹心 ABC-ELISA 法。用抗大鼠 Tau 单抗包被于酶标板上,标准品和样品中的 Tau 与单抗结合,加入生物素化的抗大鼠 Tau ,形成免疫复合物连接在板上,辣根
技术资料暂无技术资料 索取技术资料












