
默克Merck LX-2 Human Hepatic St
ellate Cell Line研选同类产品更多 >
万千商家帮你免费找货
0 人在求购买到急需产品
- 详细信息
- 用户评价
- 文献和实验
- 技术资料
- 英文名:
LX-2 Human Hepatic Stellate Cell Line
- 规格:
T25/冻存管
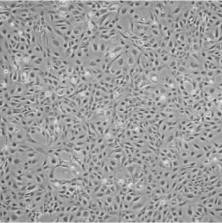
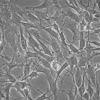
细胞名称:LX-2 Human Hepatic Stellate Cell Line
货号:SCC064
种属:human
应用:
研究类别
传染病
炎症&免疫学
干细胞研究
组分:1)≥1X10^6 活性LX-2人肝星状细胞:(目录号SCC064)。储存在液氮中。
质量:
• 每瓶含有≥ 1X10^6 个活细胞。
•通过PCR检测细胞,对甲型、乙型、丙型肝炎和HIV-1 & 2型病毒呈阴性。
•细胞对支原体污染呈阴性。
储存及稳定性:LX-2细胞应储存在液氮中。细胞可以培养至少10代,而不会显著影响细胞标志物的表达和功能。LX-2细胞已成功扩增超过培养的第50代。
其他说明:根据产品文件中详述的“学术使用协议”的条款,本产品预期仅用于销售和销售给学术机构,以供内部学术研究使用。
风险提示:丁香通仅作为第三方平台,为商家信息发布提供平台空间。用户咨询产品时请注意保护个人信息及财产安全,合理判断,谨慎选购商品,商家和用户对交易行为负责。对于医疗器械类产品,请先查证核实企业经营资质和医疗器械产品注册证情况。
用户评价
暂无用户评价
文献和实验Smith-Cortinez N, van Eunen K, Heegsma J, Serna-Salas SA, Sydor S, Bechmann LP, Moshage H, Bakker BM, Faber KN. Simultaneous Induction of Glycolysis and Oxidative Phosphorylation during Activation of Hepatic Stellate Cells Reveals Novel Mitochondrial Targets to Treat Liver Fibrosis. Cells. 2020 Nov 11;9(11):2456. doi: 10.3390/cells9112456. PMID: 33187083; PMCID: PMC7697161.
Ganesan M, New-Aaron M, Dagur RS, Makarov E, Wang W, Kharbanda KK, Kidambi S, Poluektova LY, Osna NA. Alcohol Metabolism Potentiates HIV-Induced Hepatotoxicity: Contribution to End-Stage Liver Disease. Biomolecules. 2019 Dec 10;9(12):851. doi: 10.3390/biom9120851. PMID: 31835520; PMCID: PMC6995634.
Upchurch CM, Yeudall S, Pavelec CM, Merk D, Greulich J, Manjegowda M, Raghavan SS, Bochkis IM, Scott MM, Perez-Reyes E, Leitinger N. Targeting oxidized phospholipids by AAV-based gene therapy in mice with established hepatic steatosis prevents progression to fibrosis. Sci Adv. 2022 Jul 15;8(28):eabn0050. doi: 10.1126/sciadv.abn0050. Epub 2022 Jul 15. PMID: 35857497; PMCID: PMC9286512.











