相关产品推荐更多 >

c-Fos, rabbit, polyclonal, affinity purified 226003, SYSY
¥4702.40![Selenium Binding Protein 1 (SELENBP1) Mouse Monoclonal Antibody [Clone ID: OTI3A3]](https://img1.dxycdn.com/p/s14/2024/1210/535/6188547027262736681.jpg!wh200)
Selenium Binding Protein 1 (SELENBP1) Mouse Monoclonal Antibody [Clone ID: OTI3A3]
¥1999![IL2 Mouse Monoclonal Antibody [Clone ID: OTI5A9]](https://img1.dxycdn.com/p/s14/2024/1210/109/2707811663014736681.jpg!wh200)
IL2 Mouse Monoclonal Antibody [Clone ID: OTI5A9]
¥1999
CD158b2 (KIR2DL3) Antibody, anti-human, FITC, REAlease®, 100 tests in 200 µL
询价
CCNA2纯化的MaxPab小鼠源多克隆抗体(B01P)/CCNA2纯化的MaxPab小鼠源多克隆抗体(B01P)/CCNA2纯化的MaxPab小鼠源多克隆抗体(B01P)
询价
万千商家帮你免费找货
0 人在求购买到急需产品
- 详细信息
- 文献和实验
- 技术资料
- 应用范围:
IHC
- 规格:
100ul
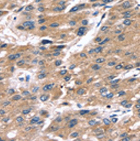
| Applications | IHC |
| Recommend Dilution | IHC: 25-100 Positive control: Human liver cancer Predicted cell location: Cytoplasm |
| Reactivity | Human |
| Host | Rabbit |
| Clonality | Polyclonal |
| Immunogen | Fusion protein of human SRGN |
| Formulation | pH7.4 PBS, 0.05% NaN3, 40% Glyceroln |
| Concentration | lot specific |
| Purification | Antigen affinity purification |
| Conjugation | Unconjugated |
| Storage Condition | Store at -20°C as received. |
| Gene Name | serglycin |
| Background | This gene encodes a protein best known as a hematopoietic cell granule proteoglycan. Proteoglycans stored in the secretory granules of many hematopoietic cells also contain a protease-resistant peptide core, which may be important for neutralizing hydrolytic enzymes. This encoded protein was found to be associated with the macromolecular complex of granzymes and perforin, which may serve as a mediator of granule-mediated apoptosis. |
| Synonyms | PPG; PRG; PRG1 |
风险提示:丁香通仅作为第三方平台,为商家信息发布提供平台空间。用户咨询产品时请注意保护个人信息及财产安全,合理判断,谨慎选购商品,商家和用户对交易行为负责。对于医疗器械类产品,请先查证核实企业经营资质和医疗器械产品注册证情况。
文献和实验Polyclonal Antibody Production
Zealand White Rabbits and have them delivered to the ARC. Don’t put all your eggs in one basket only using one rabbit. Let them get accustomed to there home there for two weeks before the first pre-bleed. Pre-bleed
Polyclonal Antibody Production
Polyclonal Antibody Production Very useful for rapid and simple generation of antibodies for western blots, ELISA assays, and immunoprecipitation. Rabbit Immunization Initial Preparation Your antigen
Generation and Selection of Rabbit Antibody Libraries by Phage Display
The rabbit antibody repertoire is an exceptional source for both polyclonal antibodies (pAbs) and monoclonal antibodies (mAbs) that combine high specificity with high avidity and affinity, respectively. In contrast to rabbit pAbs
技术资料暂无技术资料 索取技术资料





