相关产品推荐更多 >
万千商家帮你免费找货
0 人在求购买到急需产品
- 详细信息
- 技术资料
- 供应商:
武汉天德
- 库存:
999
- 规格:
100 μl/20 μl/50 μl
Cdh1 Rabbit pAb
Cat.#:TD-AB0122 Size:100ul|50ul|20ul
Background | |
| Enables G-protein alpha-subunit binding activity. Acts upstream of or within several processes, including adherens junction maintenance; embryonic morphogenesis; and germ cell migration. Located in several cellular components, including adherens junction; cell cortex; and microvillus. Part of catenin complex. Is expressed in several structures, including axial mesoderm; blastoderm; germ ring; nervous system; and pronephros. Human ortholog(s) of this gene implicated in several diseases, including blepharocheilodontic syndrome 1; breast cancer (multiple); carcinoma (multiple); cervix uteri carcinoma in situ; and reproductive organ cancer (multiple). Orthologous to human CDH1 (cadherin 1) and CDH3 (cadherin 3). | |
Product Imformation | |
| Full and Alternative Names | cadherin 1, type 1, E-cadherin (epithelial);E-cadherin |
| Immunogen | a synthetic peptide of Cdh1 of zebrafish homolog |
| Host | Rabbit |
| Reactivity | fish |
| Conjugation | Unconjugated |
| Application | WB,IHC,IF |
| Storage | Store at 4℃ short term. Aliquot and store at -20℃ long term. Avoid freeze/thaw cycles. |
| UniProt ID | Q90Z37 |
| Purification | Affinity Chromatography |
| Clonality | Polyclonal Antibody |
| Isotype | IgG |
| Antibody Type | Primary Antibody |
| Form | Liquid |
| Research Field | Immunology |
| Cellular localization | cell membrane; cytoplasmic granule |
| Buffer System | 50nM Tris-Glycine(pH 7.4), 0.15M NaCl, 40% Glycerol, 0.01% Sodium azide and 0.05% BSA |
| Dilution Ratio | WB: 1/1000 IHC or IF: 1/200 |
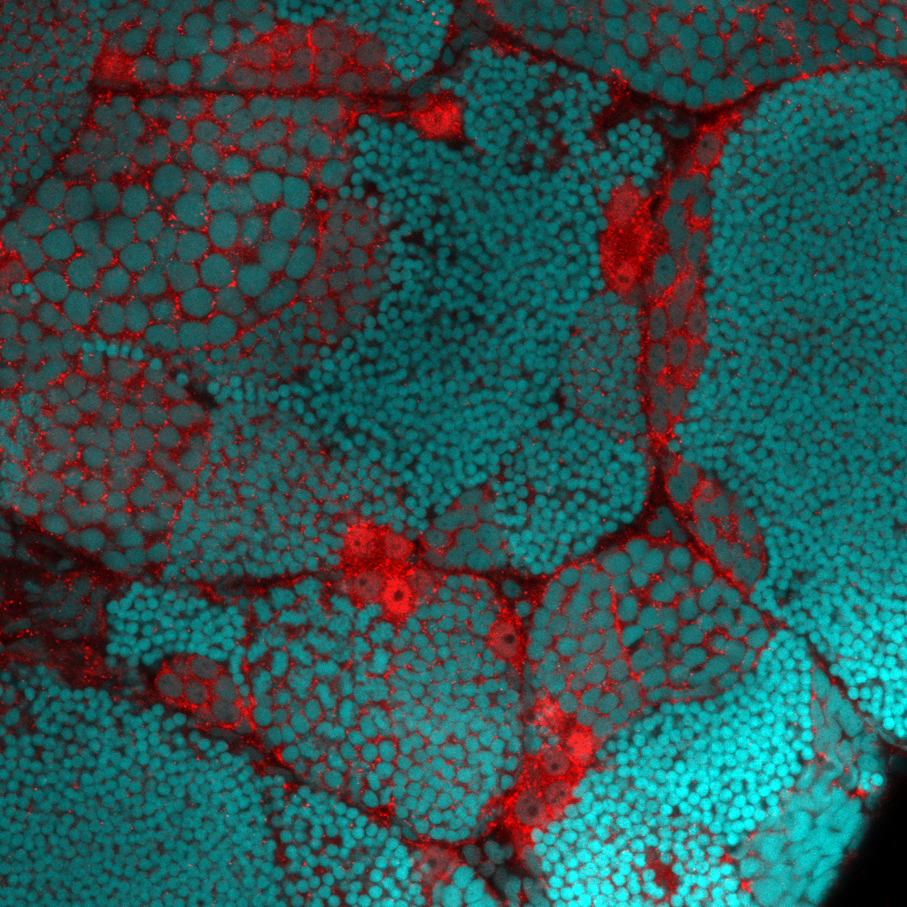
Product Image | |
![]() |
![]() |
|
免疫荧光结果图片
| |
风险提示:丁香通仅作为第三方平台,为商家信息发布提供平台空间。用户咨询产品时请注意保护个人信息及财产安全,合理判断,谨慎选购商品,商家和用户对交易行为负责。对于医疗器械类产品,请先查证核实企业经营资质和医疗器械产品注册证情况。
技术资料暂无技术资料 索取技术资料
Cdh1 Rabbit Polyclonal Antibody
询价











