急性胃溃疡是机体在内脏功能突发严重受损、酗酒、过量服用某些类固醇制剂等多种因素作用下发生的一种疾病。在生理条件下,胃黏膜表面覆盖了主要由表面.上皮分泌的黏液和碳酸氢盐组成的保护层,形成了-种可减少或避免胃酸和胃蛋白酶与黏膜直接接触的表面微环境。在这种环境下,健全的黏膜可以通过血液循环清除从胃腔回流的H+,台成有利于黏膜血液循环的前列腺素,以维持黏膜表面旺盛的细胞代谢和再生功能。当一次性或短时间内给胃内注入过量的强酸、乙醇或非类固醇制剂(如乙酰水杨酸、消炎痛、保泰松等),这 些外源性物质能破坏这一微环境,诱发急性胃溃疡。化学物质诱发急性胃溃疡小鼠模型通常采用溃疡指数作为判测溃疡发生及其程度的指标,大鼠模型在此基础上还可采用组织形态学变化等指标进行判测。本模型诱发因素明确,操作方法简便,价格低廉,实验重复性好,已成为最常用的实验模型之一。
材料和方法:
Wistar大鼠(雄性,200+20 g)
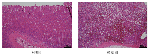
造模方法: 一次性无水乙醇灌胃,1 h后成功制备急性胃溃疡模型。
评价指标:大体观察、EL SIA检测、HE染色
验证:
胃大体观察

血清ELSIA检测













