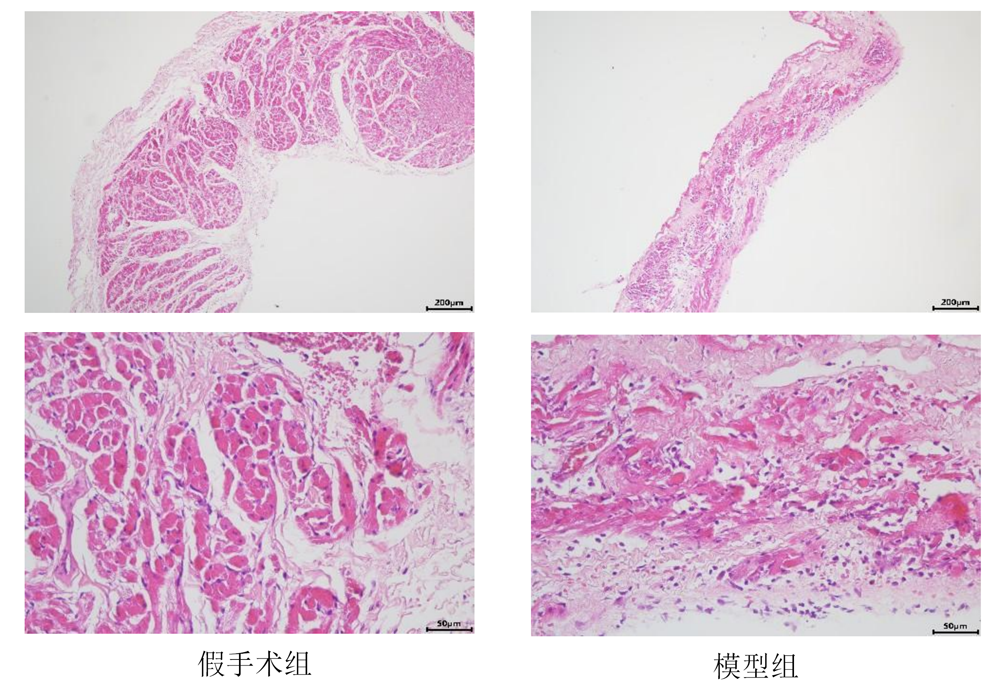
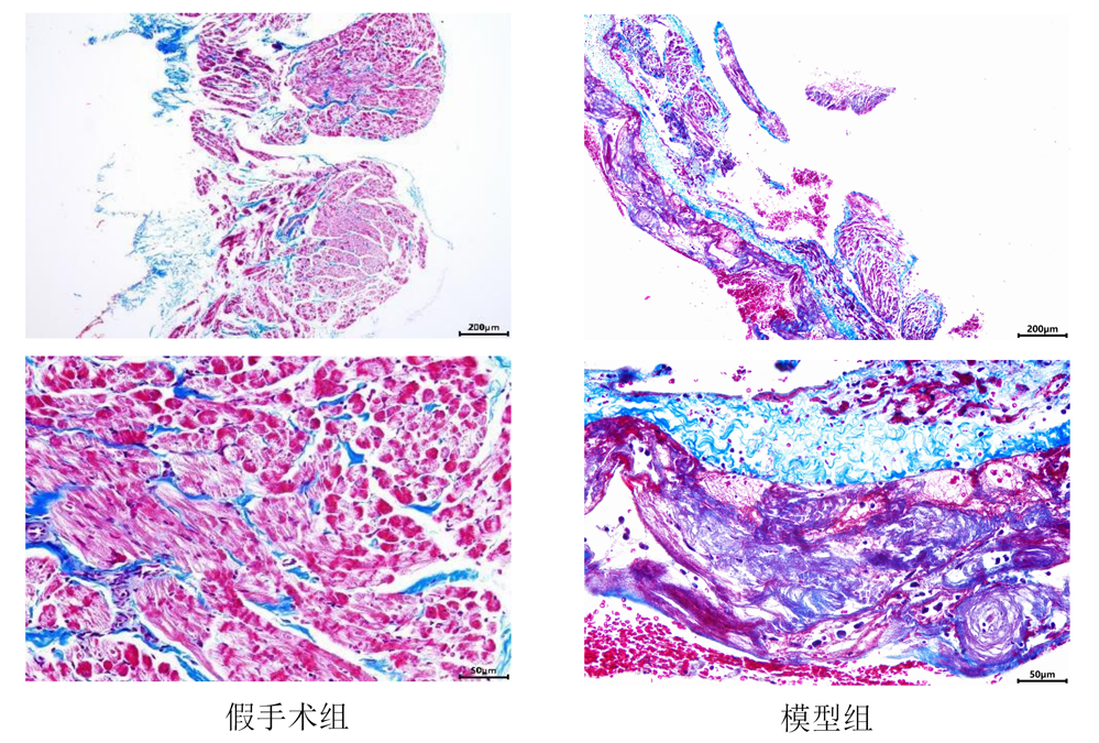
病态窦房结综合症(简称病窦)是由于窦房结及其周围组织病变,导致窦房结冲动形成障碍和/或冲动传出障碍而产生心律失常(主要是窦性心动过缓、窦性停搏及窦房传导阻滞)和一系列临床表现的综合征,目前临床缺乏疗效确切的治疗药物。建立病窦模型的方法包括有冷冻、注射、钳夹、电灼烧、甲醛损伤等方法,其中以甲醛损伤法最为常用。甲醛损伤窦房结可用浸泡甲醛的纱布湿敷窦房结部位或采用微量注射器向窦房结位置注射微量的甲醛。
材料和方法:
日本大耳兔(雌雄不限,2 kg左右)
造模方法:将蘸满甲醛的棉签沿探测电极置于窦房结区域,固定一段时间后, 待心电图时心率下降30-50%时,示造模成功。
评价指标:心率测定、HE染色、Masson染色
验证:
心率测定

心肌组织HE染色














