万千商家帮你免费找货
0 人在求购买到急需产品
- 详细信息
- 技术资料
- 提供商:
武汉贝赛模式生物科技有限公司
- 服务名称:
肺动脉高压模型构建
- 规格:
商家面议
本司通过野百台碱诱导肺动脉高压模型
背景:
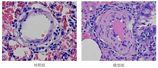
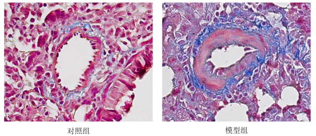
1、模型的定义:肺动脉高压(Pulmonary arterial hypertension,PAH)是由于各种原因导致肺小血管异常重构或收缩,继发肺血管阻力增高引起的进行性、致死性生理综合征。 肺部疾病是引发PAH的原发病变,但持续性的压力负荷过重将导致右室肥厚,扩张和右心衰竭。野百合碱在肝脏内经P450单氧化酶转化后,经血液循环系统到达肺部,可选择性地损伤肺血管内皮,引发慢性血管炎性病变,更接近PAH临床发病机制,采用野百合碱诱导的方法是一种理想的构建 肺动脉高压模型的方式。
2、模型应用方向:呼吸系统相关课题。
3、实验动物(品系、周龄、性别) :大鼠品系: SD、Wistar; 周龄: 6-8周;性别不限。
4、造模方法简介:大鼠接受一次腹腔注射野百 合碱构建肺动脉高压模型。
5、模型验证:造模21天后检测肺动脉压,模型组较对照组显著升高表明模型成功。
6、参考文献: He Ting, et al. Compensatory roles of Protein Related to DAN and Cerberus (PRDC) decrease in pulmonary arterialhypertension.[J] .Int J Biol Sci, 2022, 18: 2372-2391. (IF=4.858)
7、其他验证:如离体右心肥厚指数检测;离体肺组织HE检测等。
材料和方法:
SD大鼠(雄性, 6-8周龄)造模方法: 采用一次性腹腔注射野百台碱构建肺动脉高压模型,造模后4周模型制备成功。评价指标: 肺动脉压及右心肥厚指数、HE染色、Masson染色。
验证:
造模流程示意图

肺动脉压及右心肥厚指数

肺组织HE染色

肺组织Masson染色

风险提示:丁香通仅作为第三方平台,为商家信息发布提供平台空间。用户咨询产品时请注意保护个人信息及财产安全,合理判断,谨慎选购商品,商家和用户对交易行为负责。对于医疗器械类产品,请先查证核实企业经营资质和医疗器械产品注册证情况。
技术资料暂无技术资料 索取技术资料










