万千商家帮你免费找货
0 人在求购买到急需产品
- 详细信息
- 技术资料
- 提供商:
武汉贝赛模式生物科技有限公司
- 服务名称:
气管狭窄模型构建
- 规格:
商家面议
本司通过尼龙刷法诱导气管狭窄模型
背景:
1、模型的定义:气管狭窄(Tracheal stenosis)是由于喉气管软组织和软骨支架结构损伤、缺失使得喉气管 腔内发生崎形、缩窄性病变。可分为先天性和后天性,后天性喉气管狭窄最常见的病因是外伤、医源性损伤和喉气管良、恶性肿瘤。其病理机制主要在于外伤、手术或插管过程中,对喉气管粘膜造成损伤,引起急性炎症反应,使肉芽组织最终形成瘢痕组织。硬质尼龙刷刷擦的方法建 立肉芽组织增生性气管狭窄的实验动物模型,可模拟气管切开到肉芽组织增生造成气管狭窄的整个病理生理过程,更加贴近于临床实际,且具有操作简单、成功率高、造模周期短、费用较低及推广性强等优势,可为良性气管狭窄机制探究及治疗提供可靠的实验动物模型基础。
2、模型应用方向:呼吸系统相关课题。
3、 实验动物(品系、周龄、性别) :品系:日本大耳兔、新西兰大白兔;周龄: 13-15周; 性别不限。
4.造模方法简介:兔子经禁食、麻醉、备皮消毒。于颈部开口暴露气管后切开气管,之后采用硬质尼龙刷摩擦气管,之后缝合消毒伤口,待其自然清醒后放回笼中。
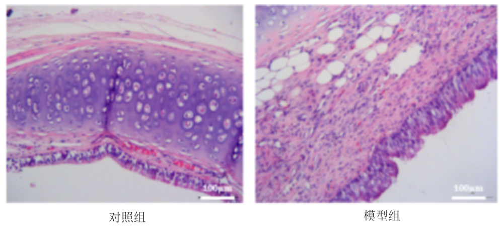
5、模型验证:术后4d模型组动物出现不同程度呼吸困难表现(呼吸频率加快、喘鸣声及鼻翼煽动),而正常组动物则无不良反应,呼吸正常。10d后肉眼可观察到造模处出现黏膜充血,呈暗红色,管腔狭窄,表示模型构建成功。
6、参考文献: Wei Peng, et al.Nintedanib ameliorates tracheal stenosis by activating HDAC2 and suppressing IL -8 and VEGF in rabbit.[J] Am J Transl Res, 2020, 12:4739-4748. (IF=3.375) 7.其他验证:如离体=气管组织HE染色等。
材料和方法:
日本大耳兔(雌雄不限,2.5kg)
造模方法:切开气管,硬质尼龙刷于气管壁内来回刷擦,术后10天模型制备成功。
评价指标:大体观察、HE染色
验证:
大体观察

气管组织HE染色

风险提示:丁香通仅作为第三方平台,为商家信息发布提供平台空间。用户咨询产品时请注意保护个人信息及财产安全,合理判断,谨慎选购商品,商家和用户对交易行为负责。对于医疗器械类产品,请先查证核实企业经营资质和医疗器械产品注册证情况。
技术资料暂无技术资料 索取技术资料










