研选同类产品更多 >
万千商家帮你免费找货
0 人在求购买到急需产品
- 详细信息
- 用户评价
- 文献和实验
- 技术资料
- 免疫原:
A synthetic peptide corresponding to the N-terminus of the Human PIWIL4
- 亚型:
Rabbit IgG
- 形态:
液体
- 保存条件:
在-20℃ to -80℃
- 克隆性:
PAb
- 适应物种:
兔
- 保质期:
12个月
- 目录编号:
101709-T10
- 级别:
免疫学试剂
- 库存:
99
- 供应商:
北京义翘神州科技股份有限公司
- 宿主:
Rabbit
- 应用范围:
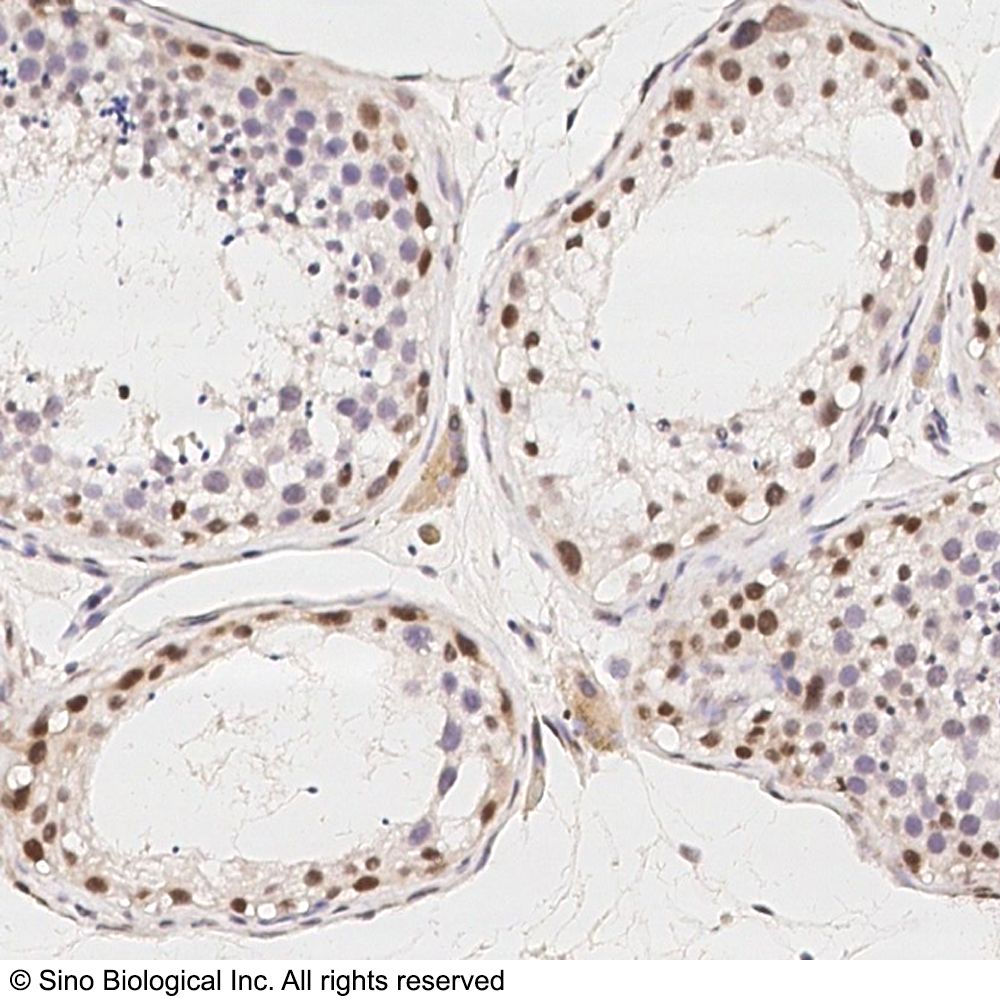
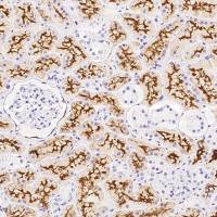
IHC-P,ICC/IF
- 浓度:
IHC-P: 1:500-1:2000;ICC/IF: 1:300-1:10000
- 靶点:
PIWIL4
- 抗体英文名:
PIWIL4 Antibody, Rabbit PAb, Antigen Affinity Purified
- 抗体名:
PIWIL4 兔多抗 (抗原亲和纯化)
- 规格:
100 µL
PIWIL4 兔多抗 (抗原亲和纯化)(产品说明)
抗体种属:Human
抗体靶点:PIWIL4
抗体应用:IHC-P,ICC/IF
抗原描述:A synthetic peptide corresponding to the N-terminus of the Human PIWIL4
抗体宿主:Rabbit
抗体Ig类型:Rabbit IgG
抗体纯化方法:Protein A & Antigen Affinity
抗体制备:Produced in rabbits immunized with a synthetic peptide corresponding to the N-terminus of the Human PIWIL4, and purified by antigen affinity chromatography.
抗体特异性:Human PIWIL4
抗体保存:This antibody can be stored at 2℃-8℃ for one month without detectable loss of activity. Antibody products are stable for twelve months from date of receipt when stored at -20℃ to -80℃. Preservative-Free. Avoid repeated freeze-thaw cycles.
风险提示:丁香通仅作为第三方平台,为商家信息发布提供平台空间。用户咨询产品时请注意保护个人信息及财产安全,合理判断,谨慎选购商品,商家和用户对交易行为负责。对于医疗器械类产品,请先查证核实企业经营资质和医疗器械产品注册证情况。
用户评价
暂无用户评价
文献和实验1, Li Y, et al. Whole-exome sequencing of a cohort of infertile men reveals novel causative genes in teratozoospermia that are chiefly related to sperm head defects.Human reproduction (Oxford, England), PubMed ID: 34791246
技术资料暂无技术资料 索取技术资料











